Esteettisillä muovitäytteillä kerrostustekniikalla tehtynä saadaan muutettua hampaiden ulkonäköä mahdollisimman vähän omaa hammaskudosta poraamalla. Muoveihin usein yhdistetään hampaiden valkaisu ja niitä käytetään erityisesti oikomishoitojen viimeistelyissä sekä tapaturmaisesti lohjenneiden hampaiden paikkaamisessa. Omassa hampaassa on useita kerroksia joilla jokaisella on omat ominaisuutensa läpikuultavuuden suhteen. Tästä syystä pelkästään yhdestä muovikerroksesta tehdyt muovipaikat etuhampaissa näyttävät mattamaisen luonnottomilta. Lopputulos muuttuu heti, jos muovitäyte rakennetaan muutamasta eri kerroksesta ja hampaden oma luonnollinen läpikuultavuus saadaan kopioitua.
Tekniikka on käsityötä ja vaatii tekijältä kokemusta käytettävien muovikerrosten paksuuksista ja valittavista sävyistä. Kerrostusmuoveilla voidaan rakentaa pelkästään hampaan kärki, mutta siitä voidaan myös valmistaa koko hampaan ulkopuolen peittävä muovilaminaatti.
Toimin pohjoismaissa ja lähitulevaisuudessa koko Euroopan alueella esteettisissä kerrostusmuoveissa kahden eri materiaalivalmistajan Ivoclar Vivadent Oy:n sekä Ultradent:in kouluttajana hammaslääkäreille. Olen kouluttautunut maailmalla useissa eri hands on -koulutuksissa kerrostusmuoveista viimeisen kymmenen vuoden aikana.
Käymäni koulutukset aiheesta:

Potilastapaus 1
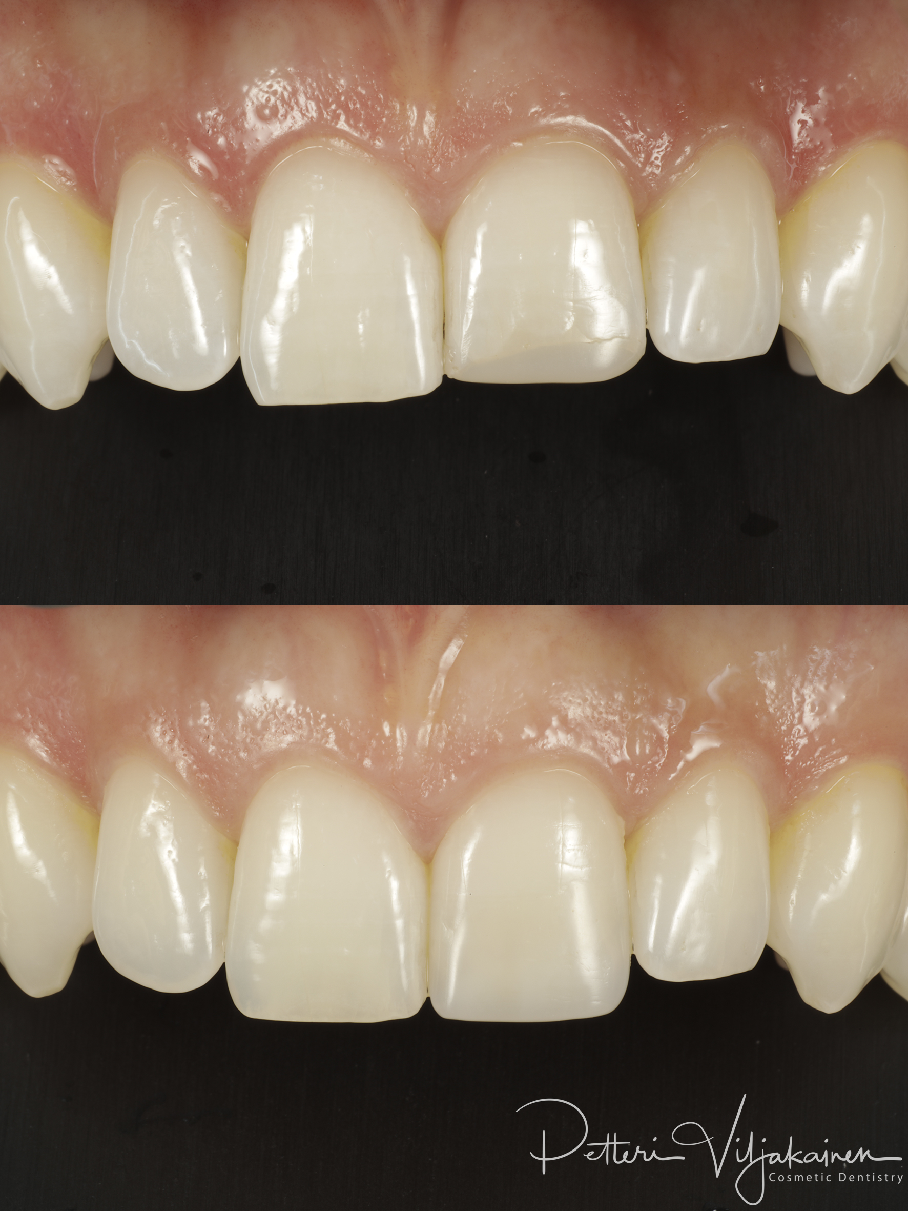
25 -vuotias nuori nainen joka lapsuudessa loukannut etuhampaansa polkupyöräonnettomuudessa. Vanha täyte alkanut tummumaan ja potilaan toiveesta se päivitettiin tähän päivään. Hoito läpäissyt AACD sekä BACD akkredioinnit.
Alkutilanne
Vanha täyte purettuna
Palatinaalinen ohut kerros
Lopullinen yhdistelmämuovitäyte


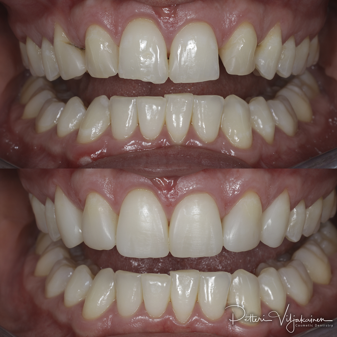
Potilastapaus 2.
Asiakkaalta puuttuivat synnynnäisesti reunimmaiset yläetuhampaat. Tehty esteettiset kerrostusmuovit kuuteen yläetuhampaaseen, Näin saatiin korjattua hampaiden mittasuhteet, suljettua hampaiden välissä sijainneet raot eli diasteemat sekä vaihdettua vanhat värjäytyneet paikat.


Potilastapaus 3.
Esteettiset kerrostusmuovit kuudessa yläetuhampaassa

Potilastapaus 4
Diasteeman eli etuhampaiden välissä olevan kolon sulkeminen esteettisillä kerrostusmuoveilla
Hoito alkaa ilmaisella 30 min konsultaatioajalla. Ajan voit varata tästä. Tervetuloa!
Olen pelkästään esteettiseen hammashoitoon keskittynyt hammaslääkäri, kansainvälinen kouluttaja sekä luennoitsija. Otan vastaan asiakkaita eSmile:n Espoon vastaanotolla Kauppakeskus AINOAssa.
©Petteri Viljakainen