Harmittaako nuoruudessa oikomatta jääneet hampaat? Vai kävitkö pitkän oikomishoidon lapsuudessa läpi mutta hampaita ei saatukaan oikomisella ihan suoriksi. Mitä jos hampaat voisi oikoa aikuisena järkevässä ajassa (keskimäärin 6-12 kuukaudessa), suhteellisen huomaamattomasti ilman metallinvärisiä telaketjurautoja? Suorat valkoiset hampaat alle vuodessa ilman puudutuspiikkejä tai hampaiden poraamista.
Kiinnostuitko?
Aikuisiällä toteutettava oikomishoito on yleistynyt nopeasti Suomessa uusien oikomistekniikoiden myötä. Oikomishoito on tuonut esteettiseen hammashoitoon perinteisten menetelmien rinnalle uuden tavan saada valkoiset suorat hampaat, mutta turvallisemmin.
Esteettinen hammashoito maailmalla on menossa jatkuvasti kohti ”minimal invasive” -ajattelumaailmaa, jossa hoito toteutetaan mahdollisimman vähän omaan hammaskudokseen poralla kajoten. ABB eli align, bleach and bond on hoitoideologia, jossa hampaat ensin oiotaan järkevässä ajassa mahdollisimman huomaamattomasti suoraksi, valkaistaan oikomishoidon loppuvaiheessa ja viimeistellään hymy lopuksi esteettisillä muovitäytteillä käytännössä koskematta poralla hampaisiin. Oikomishoitoja aikuisiällä käytetään myös keraamisten hammaslaminaattien yhteydessä siirtämällä hampaat ensin oikeille paikoille, jotta niitä jouduttaisiin poraamaan laminaatteja varten mahdollisimman vähän.
Oikomishoidossa käytän vain hampaanvärisiä oikomismenetelmiä, joista Invisalign on tällä hetkellä ylivoimaisesti suosituin vaihtoehto. Hoidan ainoastaan aikuispotilaita. En hoida nuoria tai lapsia, koska heidän oikominen eroaa aikuisten hoidoista siinä että hoidon ajoittaminen leukojen kasvun kanssa oikeaan aikaan on iso osa oikomista. Lapsia hoitavat oikojahammaslääkärit, lähinnä terveyskeskuksissa.
Invisalign on ohuilla irroitettavilla läpinäkyvillä muovikalvoilla toteutettava oikomishoidon menetelmä, jossa kalvot valmistetaan mittatilaustyönä. Kalvoja pidetään 22h / vrk. Niitä vaihdetaan viikon välein seuraaviin, jolloin hampaat siirtyvät vähitellen viikosta toiseen kohti suunniteltua lopputulosta. Hoito on suhteellisen huomaamatonta, ulkopuolisen on vaikea havaita hampaiden päällä olevia kalvoja, ja kalvoihin tottumisen jälkeen ne vaikuttavat puheeseen hyvin vähän. Kalvot otetaan pois ainoastaan syödessä sekä hampaita pudistettaessa.
Hoitosuunnitelma tehdään digitaalisesti 3D mallinnuksen avulla ennen hoidon aloittamista, tämä mahdollistaa oletetun lopputuloksen näkemisen jo ennen hoidon alkua. Invisalignilla on tehty maailmanlaajuisesti yli 15 miljoonaa hoitoa (2023) viimeisimmän 20 vuoden aikana.
Oikomisen hinta määräytyy sen mukaan kuinka paljon kalvopareja haluttuun lopputulokseen pääsemiseen tarvitaan. Kevyemmissä oikomishoidoissa voidaan käyttää Invisalign Lite –hoitoa, jossa käytettävien kalvojen määrä on vähäisempi ja hinta edullisempi, Moderate -hoito on tarkoitettu aavistuksen isommille hoidoille. Laajimmissa hoidoissa käytetään Invisalign Comprehensive –menetelmää, jossa kalvojen määrää ei ole rajoitettu ja aika kalvojen tilaamiselle on rajoitettu viiteen vuoteen. Hoitoja tehdään yleensä molempiin leukapuoliskoihin samanaikaisesti.
Invisalign GO on aloitteville hammaslääkäreille suunniteltu hoitomuoto. Kokeneet hammaslääkärit hoitavat potilaita joko Lite-, Modetare- tai Comprehensive -hoidoilla.
Saavutin 500 tehdyn Invisalign -hoidon rajan syksyllä 2020. Tällä hetkellä (2024) olen tehnyt n. 900 hoitoa Invisalign -menetelmällä.


Tärkein ero hammaslääkärien välillä on ns. Smile Design -osaaminen eli kuinka ottaa kokonaisuus ja kauniin hymyn suunnitelu oikomisessa huomioon. Hampaat itse oikomisen jälkeen ilman muita toimenpiteitä harvoin näyttävät täydelliseltä, usein leukapuoliskojen hampaat ne eivät ole symmetrisen malliset verrattuna toisiinsa. Hyvä esteettinen hammashoito on lähes aina oikomisen, hampaiden valkaisujen sekä korjaavan hoidon (esteettiset kerrostusmuovit / keraamiset kuoret) yhdistämistä. Mitään näistä toimenpiteistä ei varsinaisesti opeteta hammaslääkärien / erikoishammaslääkärien koulutuksessa Suomessa vaan kattavampi oppi on haettava kansainvälisistä koulutuksista.
Invisalign -hoitojen hinnat eroavat jonkin verran eri hammaslääkäriasemien välillä. Itse hoidon materiaalit ovat kaikkialla pääsääntöisesti samat, ero tulee siitä että hammaslääkäri tekee hoitosuunnitelman aina itse. Mitä kokeneempi hammaslääkäri on, sitä parempi hoitosuunnitelma ja hoidon lopputulos on. Invisalign hoitojen lopputulokset eivät ole samoja eri hammaslääkärien välillä vaikka hoidon nimi onkin sama! Mitä halvempi hinta, usein sitä kokemattomampi tekijä on. Hoidot eroavat toisistaan myös retention suhteen. Toiset hammaslääkärit käyttävät Invisalignin itse suunnittelemia ja valmistamia Vivera -retentiokalvoja kun taas toiset vastaanotot valmistavat retentiokalvot itse. Ero hammaslääkärien välillä on myös siinä minkälainen seuranta hoitojen pysyvyydellä on ja minkälainen takuu hoidolle annetaan.
Paras takuu potilaan kannalta on aina se, että potilas hoidon jälkeen jatkaa hoidon tehneellä hammaslääkärillä säännöllisillä tarkastuskäynneillä ja kokonaishoidossa muutaman vuoden välein.
Lisää tietoa Invisalignista sekä Iltalehdessä julkaistun jutun aiheesta löydät tästä.
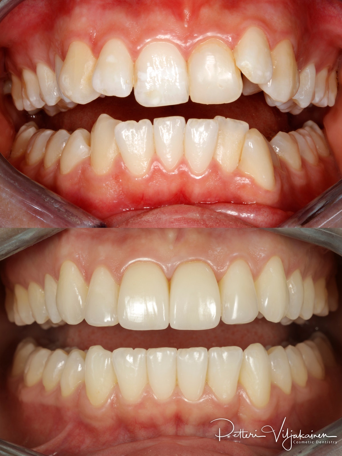
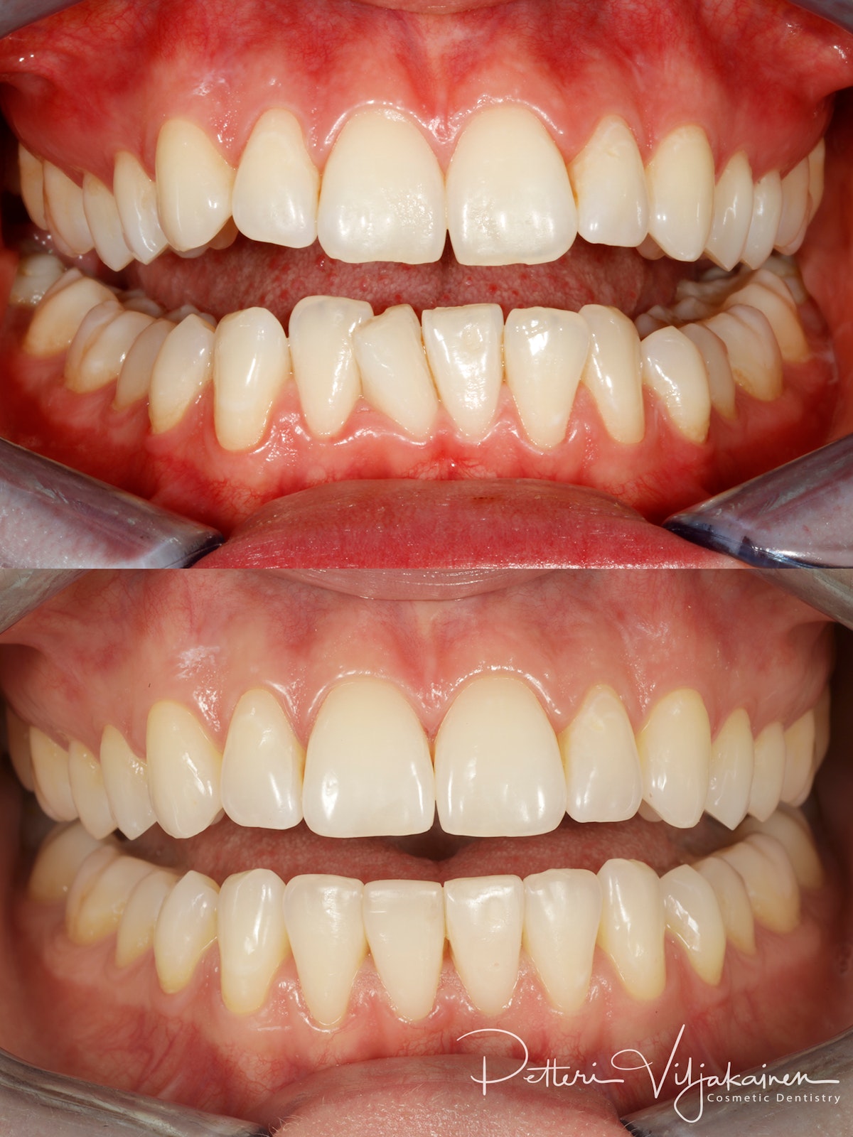
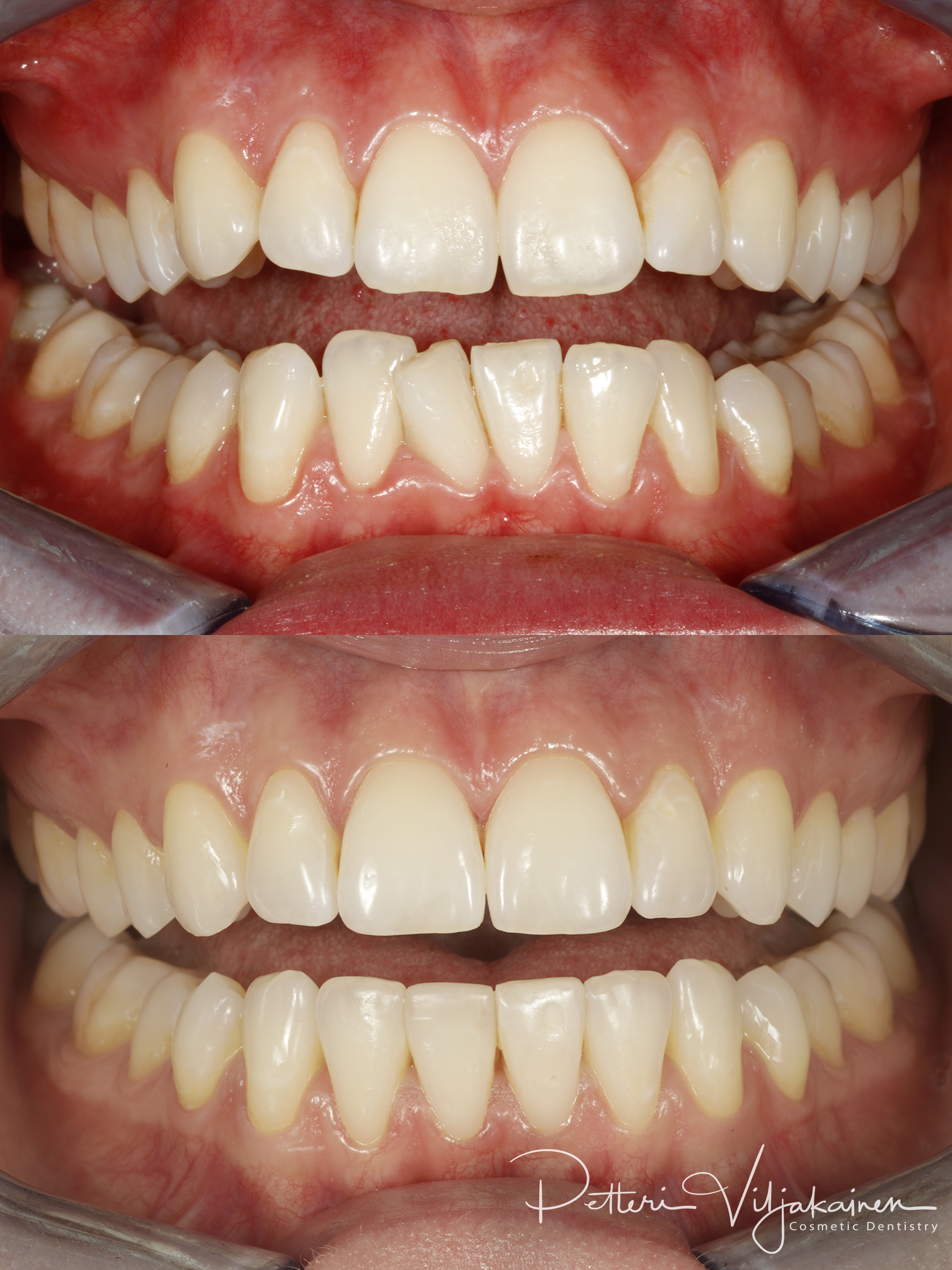
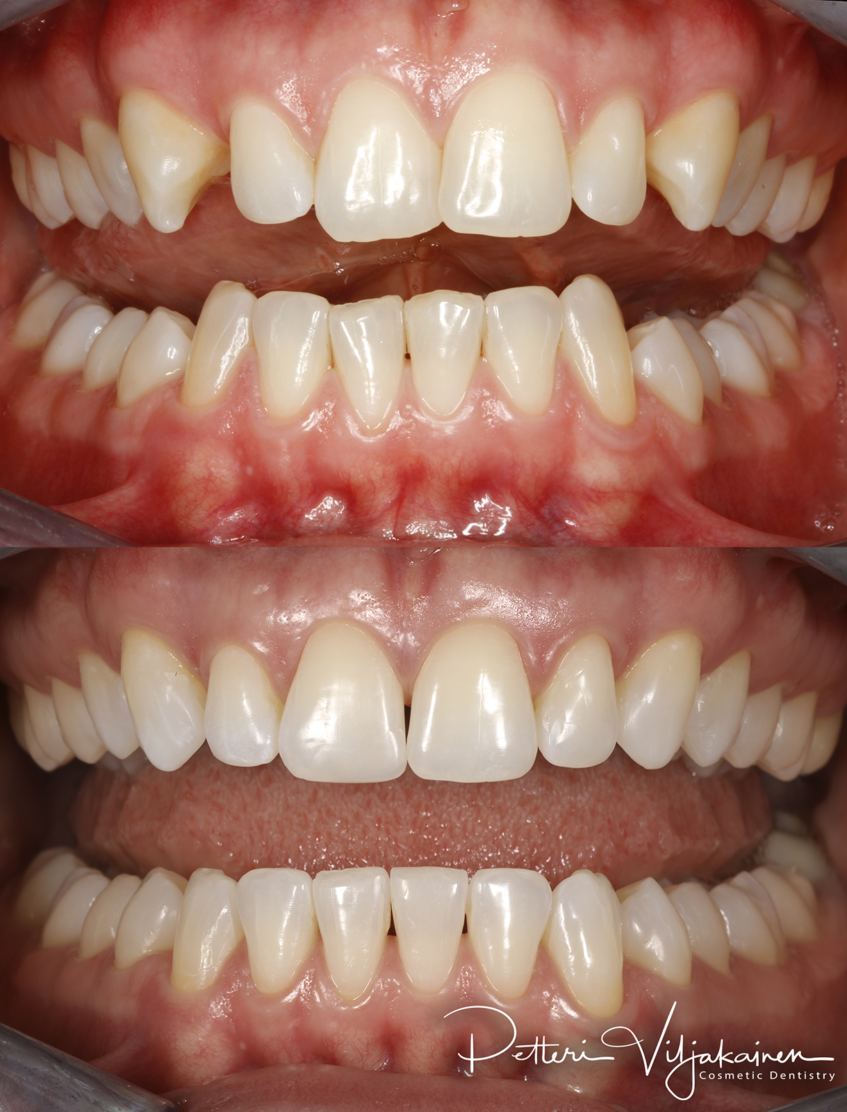
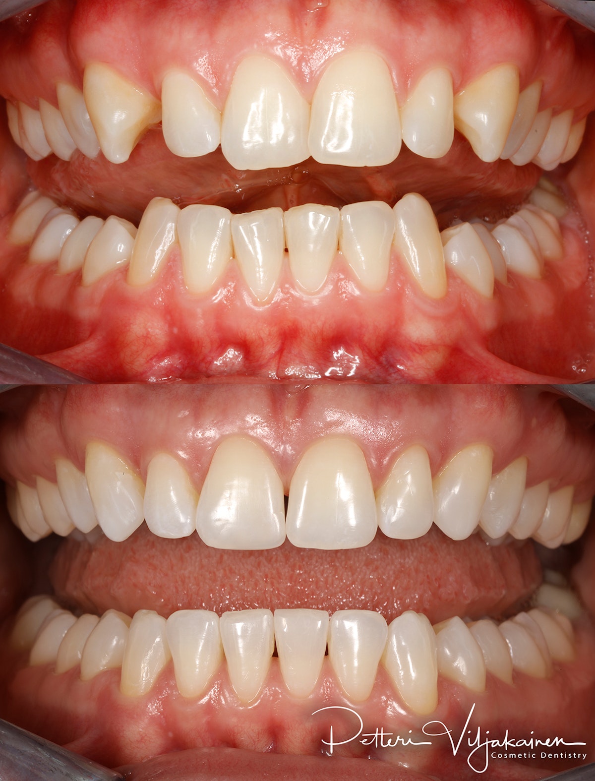
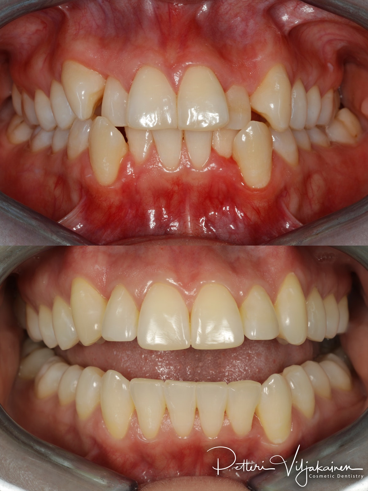
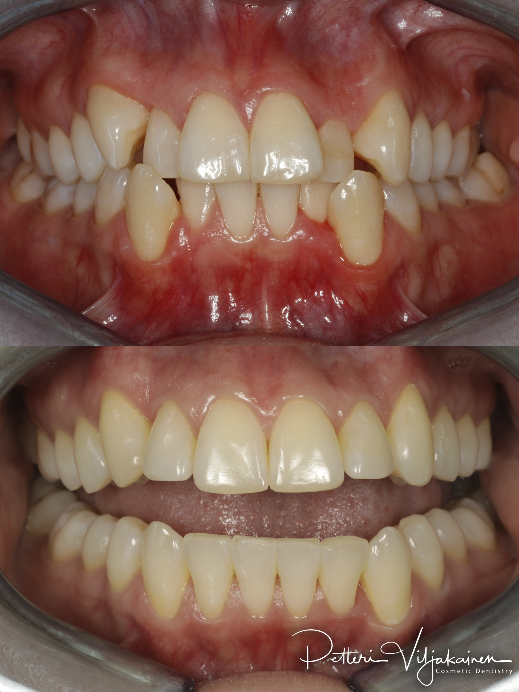
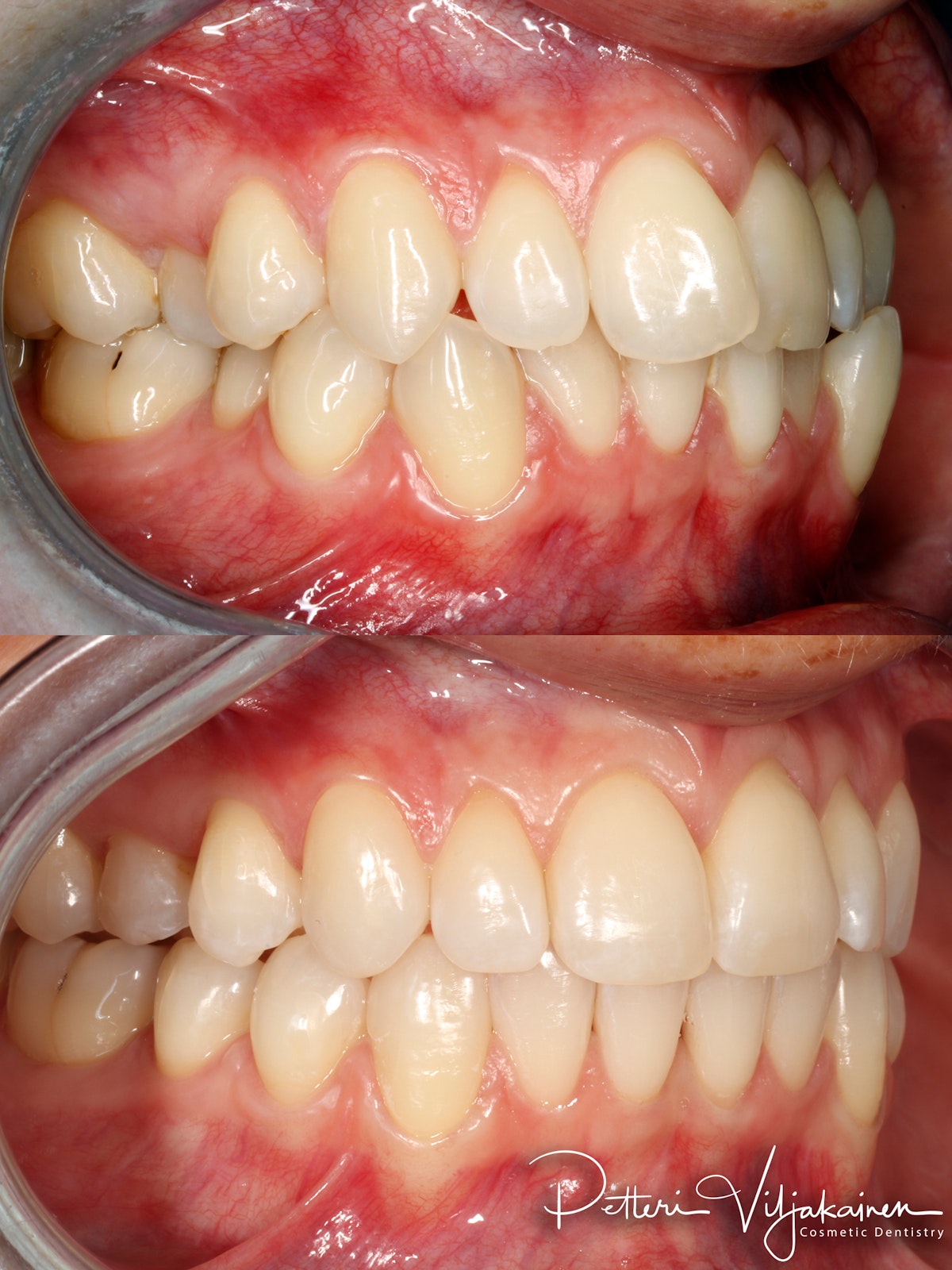
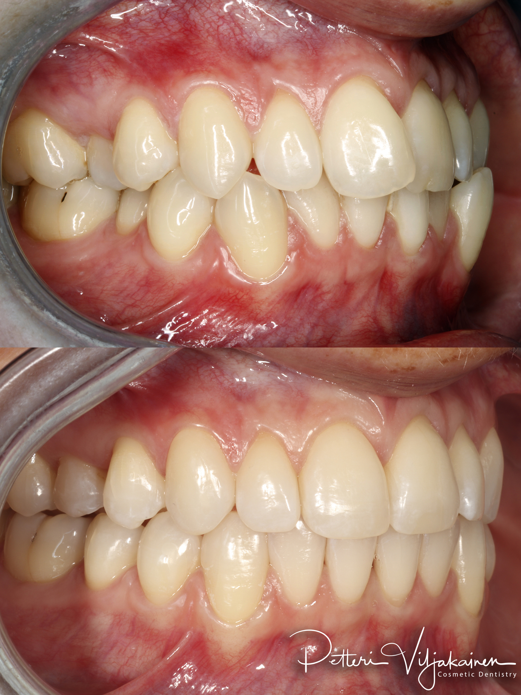
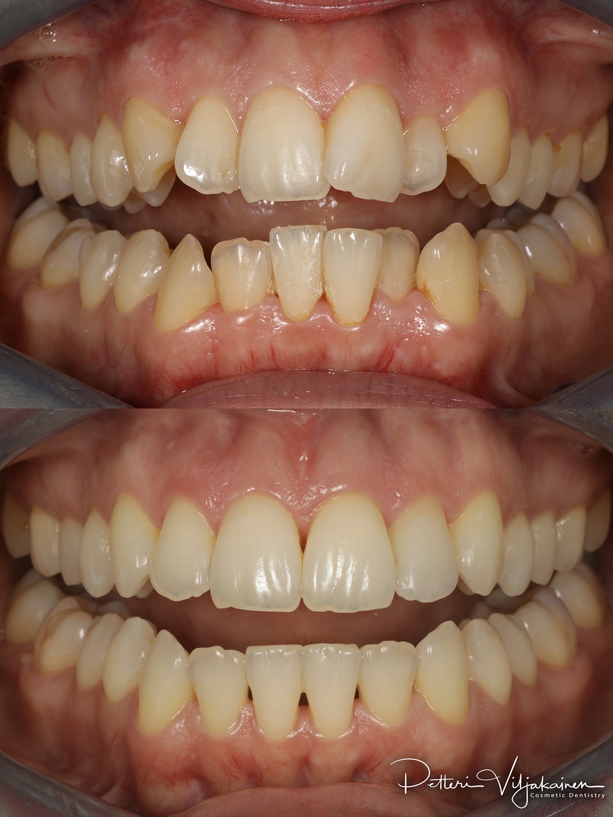
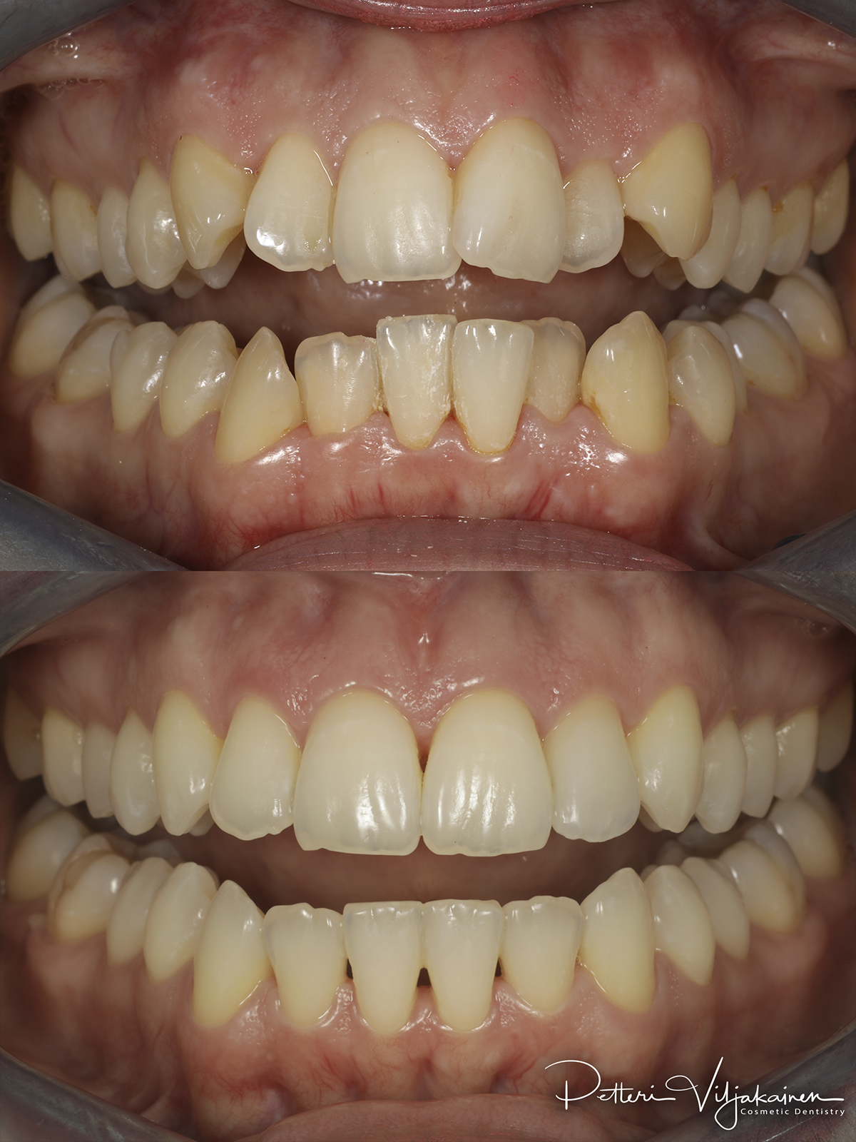
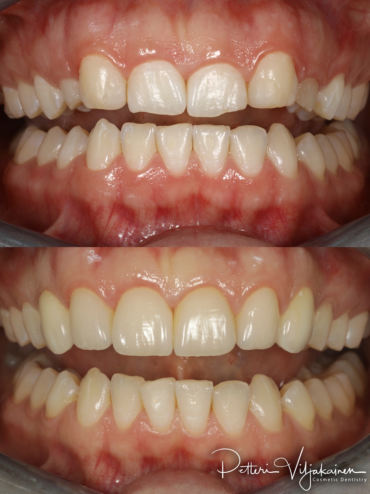
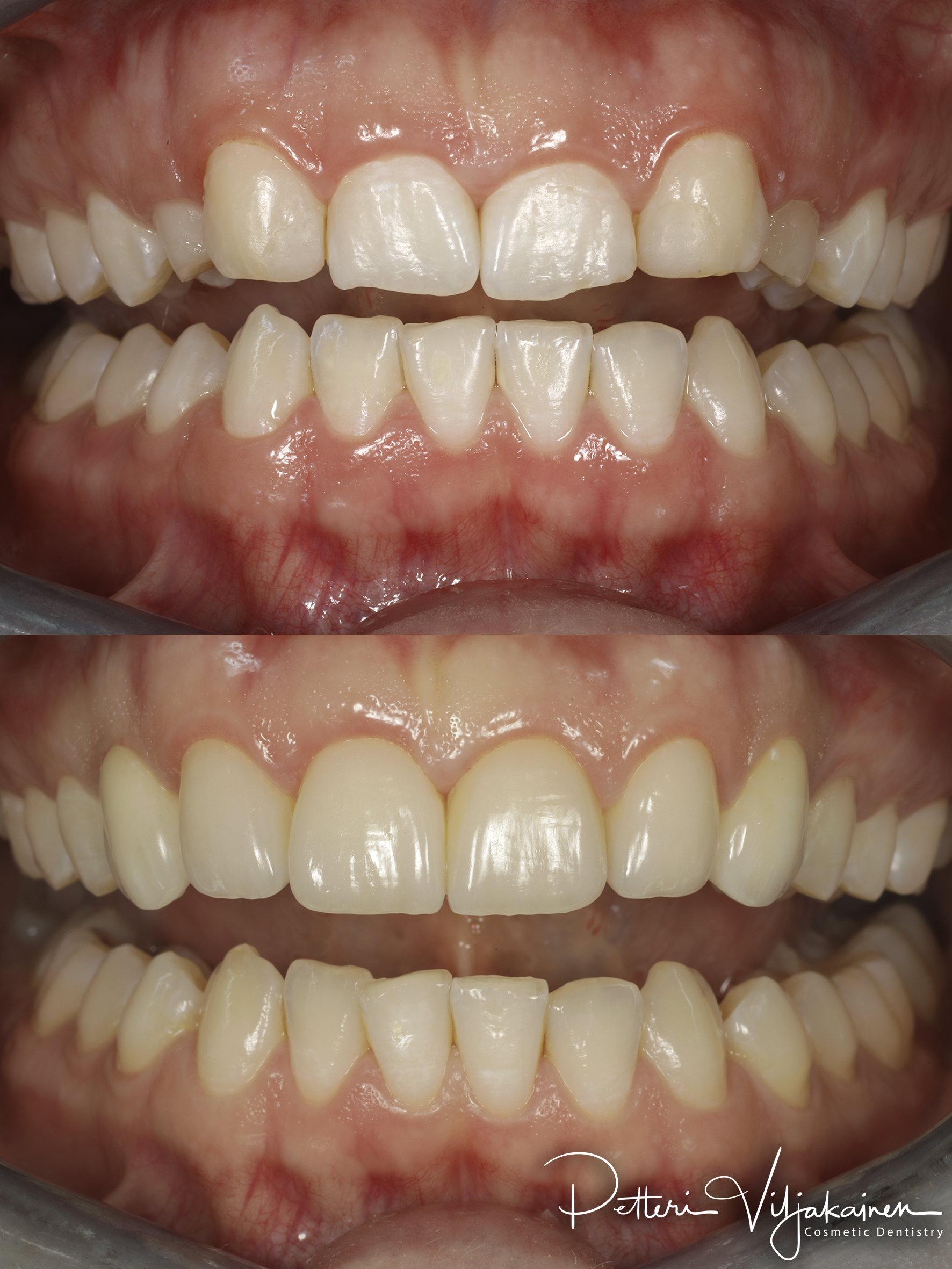
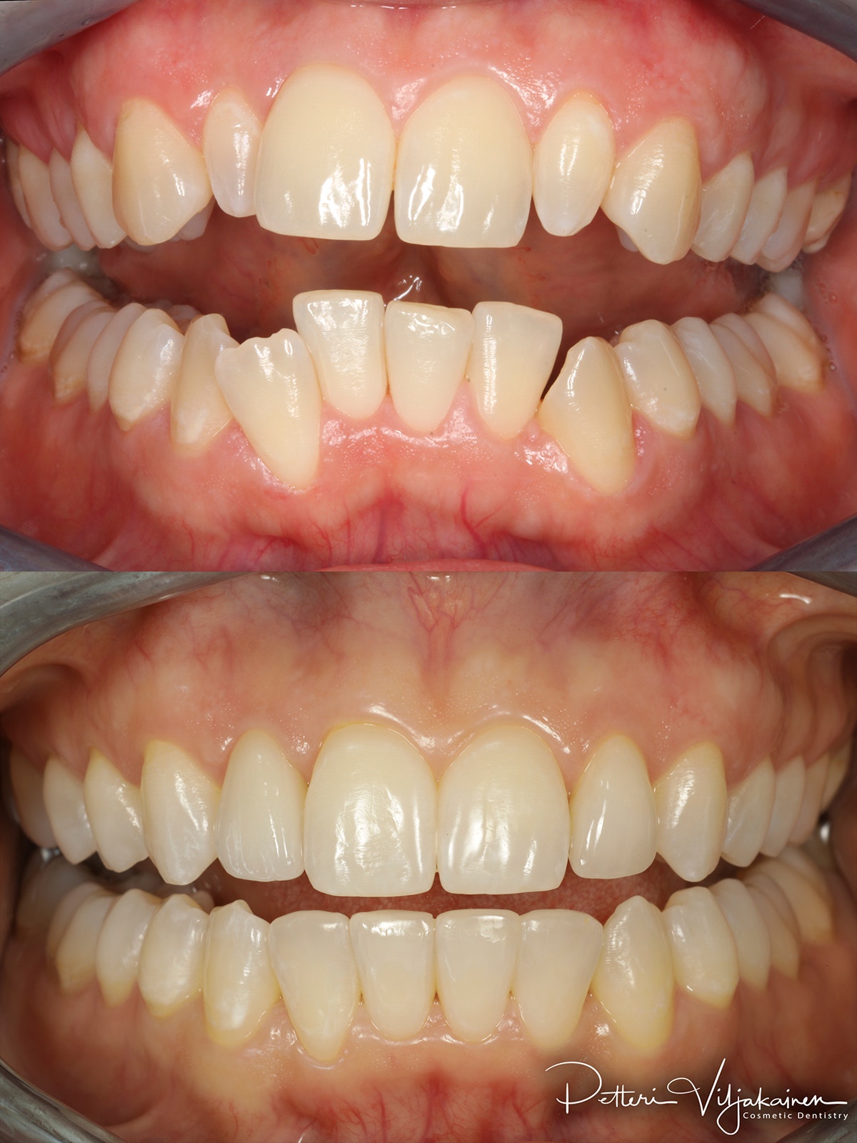
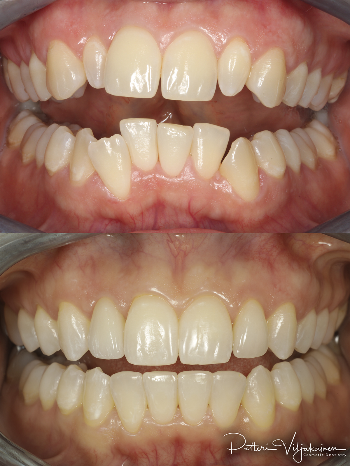
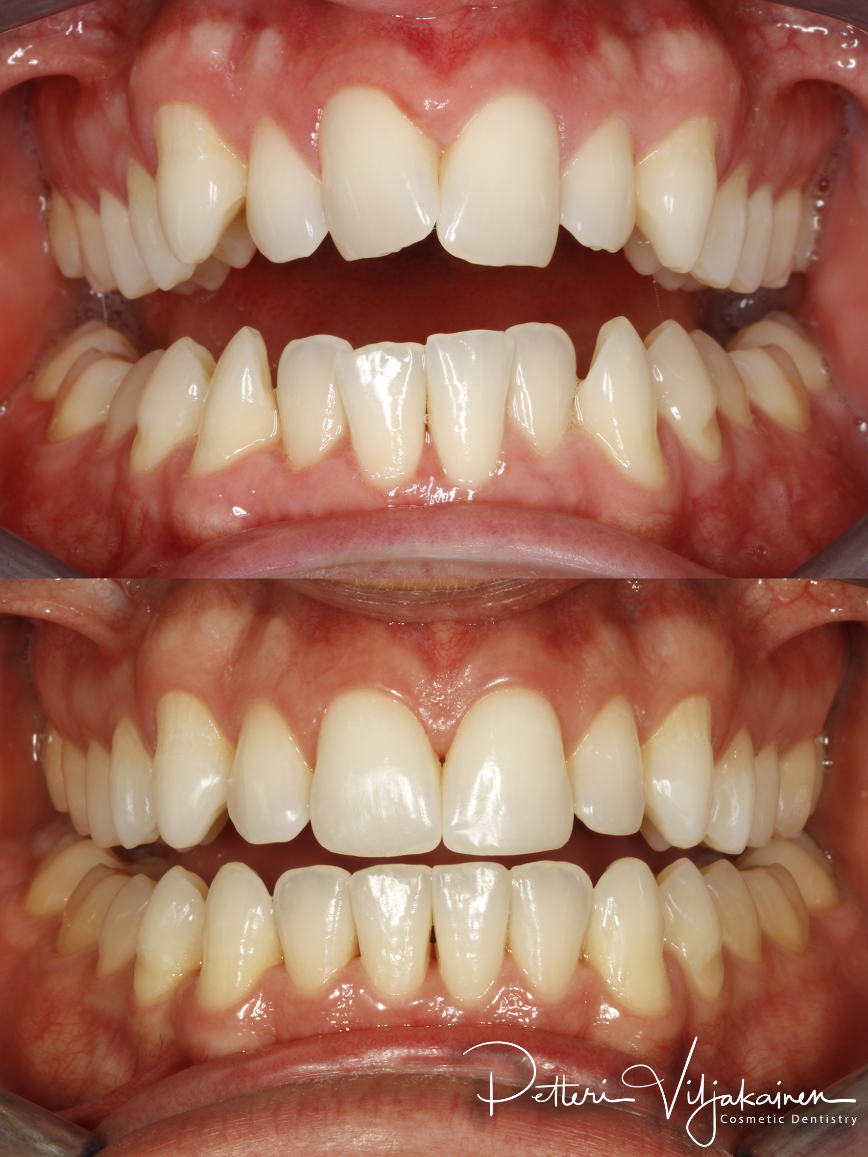
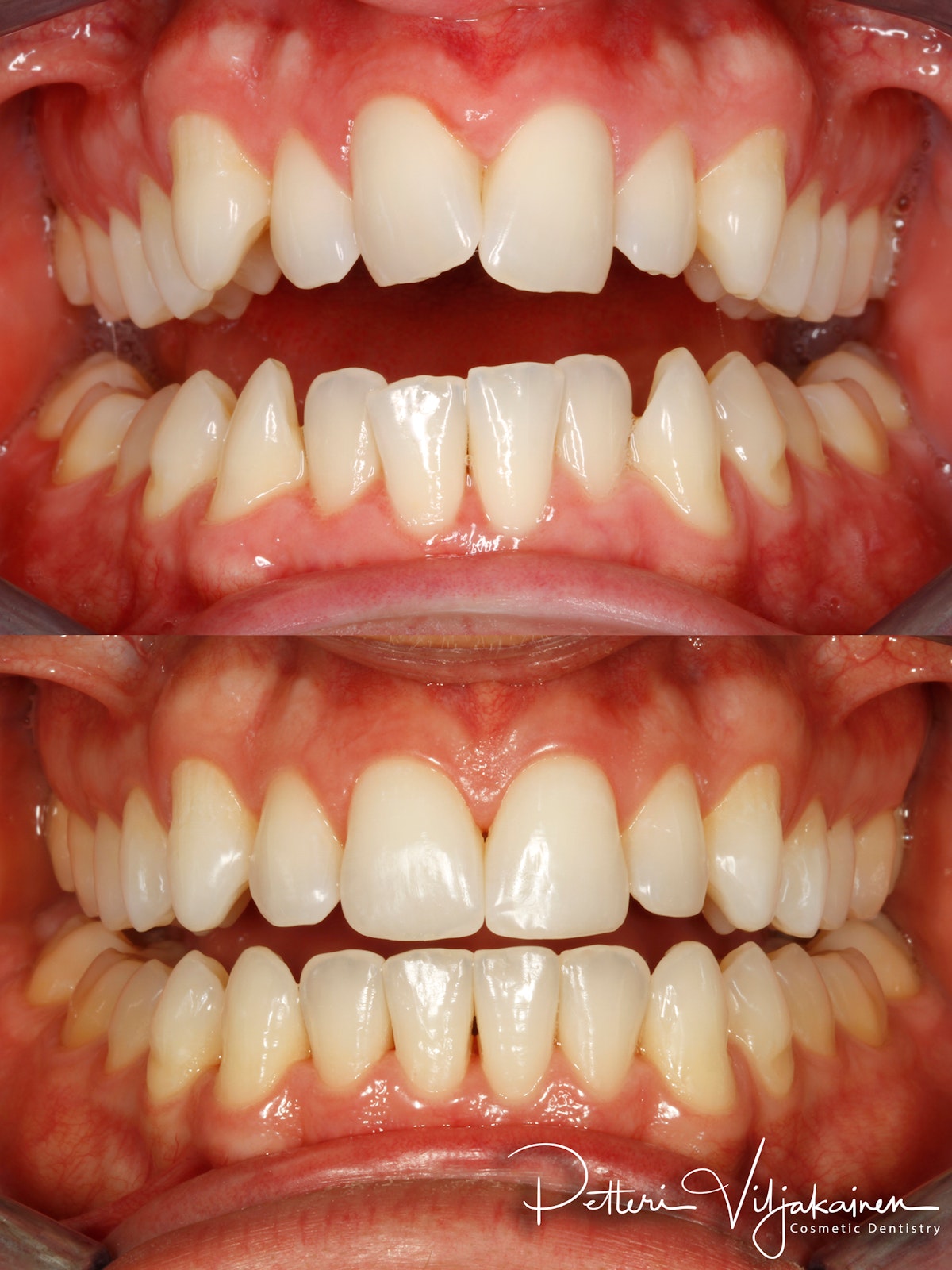
Alla suorittamiani hoitoja ja esimerkkejä siitä minkälaisia purentavirheitä voi korjata.

18kk hoito (Comprehensive). Keraamiset kuoret keskimmäisiin yläetuhampaisiin, kerrostusmuoveilla tehty reunimmaiset yläetuhampaat.

10kk hoito (Comprehensive). Etuhampaiden kärkien viimeistely kerrostusmuoveilla.

10 kk hoito (Comprehensive). Aavistus esteettistä muovia lisätty yläkulmahampaisiin hoidon jälkeen.

20kk hoito (Comprehensive).

12kk hoito(Comprehensive).

14kk hoito (Comprehensive). Yksittäinen keraaminen kuori tehty reunimmaiseen yläetuhampaaseen

12kk hoito pelkästään ylähampaisiin (Lite + 2 x refinement). Neljään yläetuhampaaseen tehty keraamiset kuoret. Kulmahampaat korvattu implanttikruunuilla.

18kk hoito (Comprehensive) Reunimmaisiin yläetuhampaisiin tehty keraamiset kuoret.

10kk Lite hoito
Miten invisalign oikominen eroaa perinteisitä kiinteistä oikomiskojeista eli "raudoista"
Invisalign -hoidossa hampaat oiotaan 3D maailmassa suoraksi ja lopputuloksen perusteella tilataan tietty määrä kalvoja jotka pikkuhiljaa oikovat hampaita kohti suunniteltua lopputulosta. Kaikkien hampaiden liikkeet joka suuntaan ovat hoidon aikana optimoituja, samoin oikomisessa tarvittavat hampaisiin kohdistuvat voimat. Tämän ansiosta itse hoito on yllättävän kivutonta. Toinen syy kivuttomuuteen on se, että kalvoja pidetään oikomisen aikana 22h / vkr eli vuorokaudessa on 2 tuntia, jolloin kalvoja ei tarvitse pitää. Tänä aikana hampaat pääsevät "toipumaan" oikomisen rasituksesta.
Mitä hoidosta olisi hyvä tietää jo ennen konsultaatiokäyntiä?
Kalvoja on pystyttävä pitämään 22h vuorokaudessa. Kalvot otetaan pois ainoastaan syömisen ja hampaiden puhdistamisen ajaksi. Jos hoitoon ei pysty sitoutumaan riittävästi eli tunteja kalvoilla vuorokaudessa saamaan täyteen, ei hoitoon kannata ryhtyä. 22h/vrk käyttö mahdollistaa kalvojen vaihdot viikon välein, jos kalvoja pidetään vuorokaudessa vähemmän myös kalvojen vaihtovält ovat pidempiä.
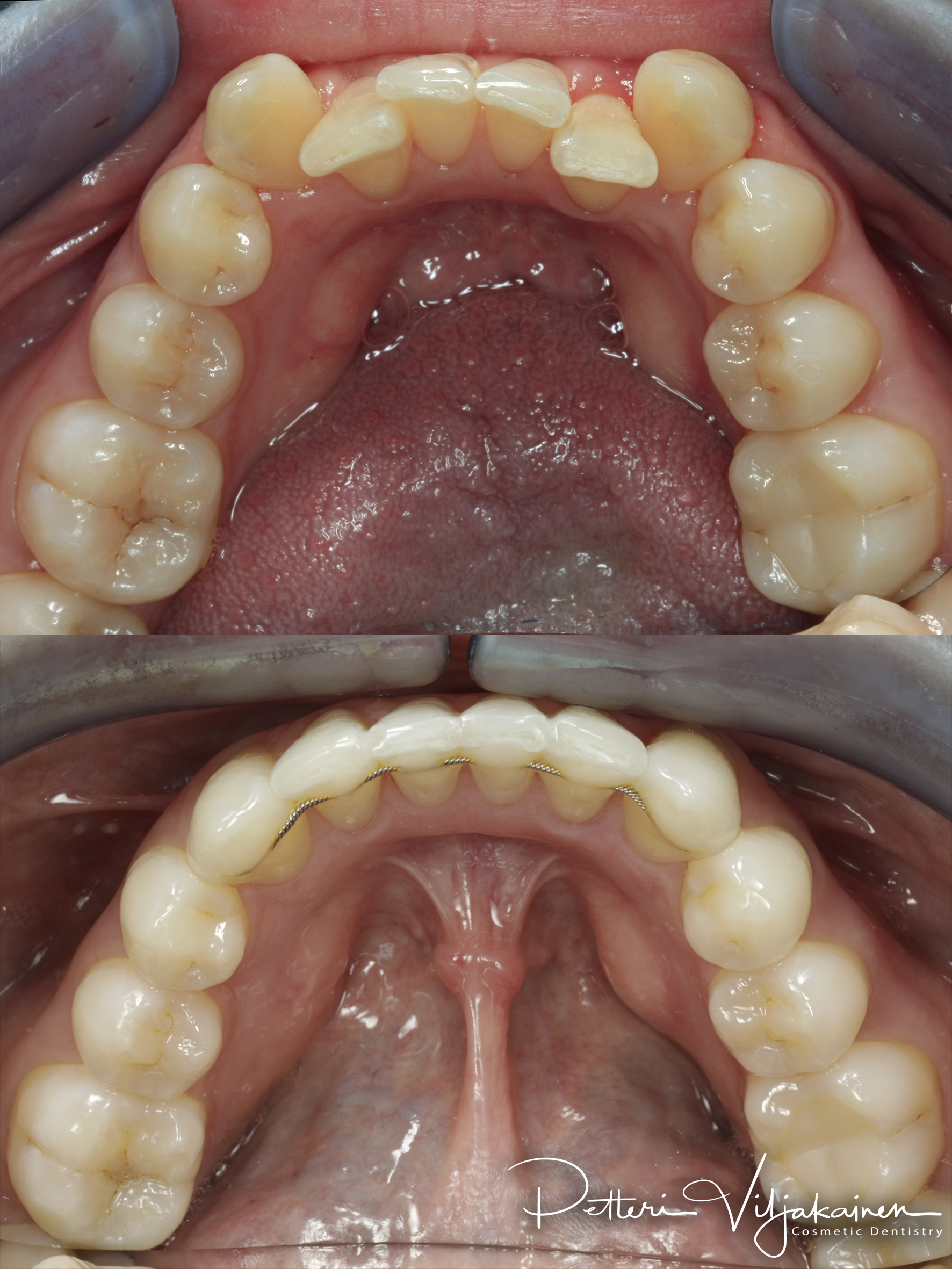
Retentio
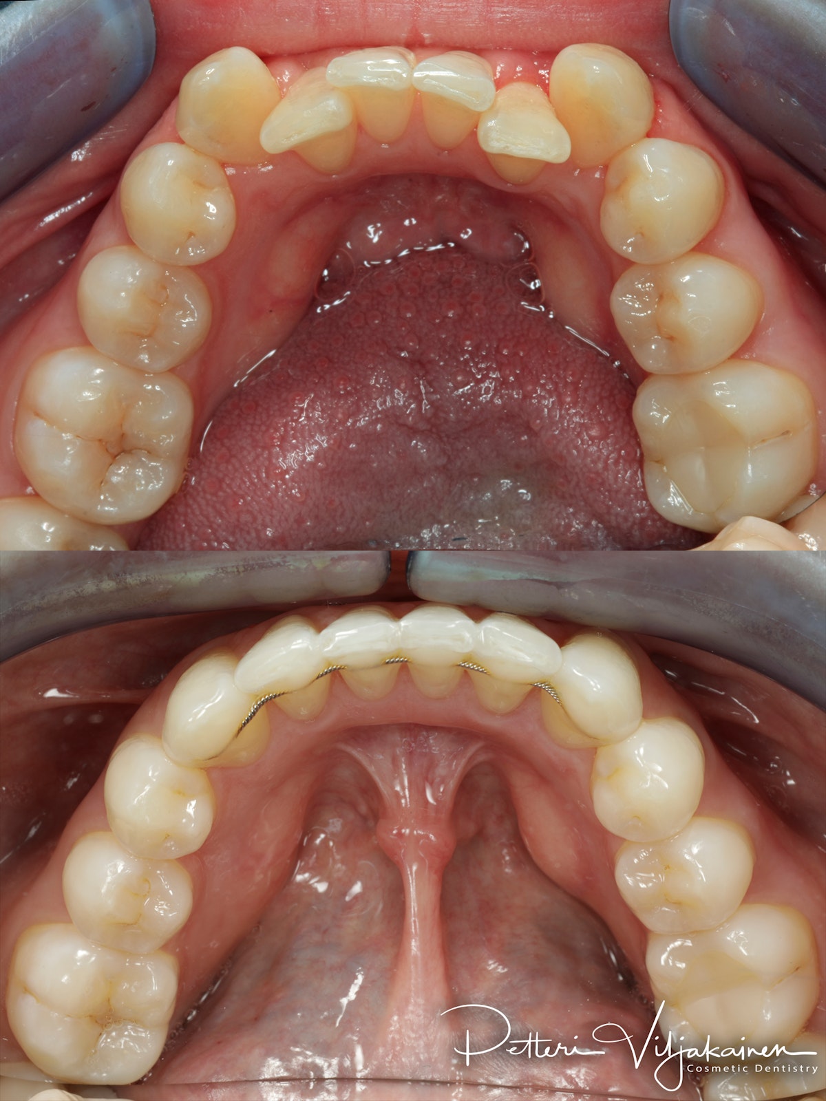
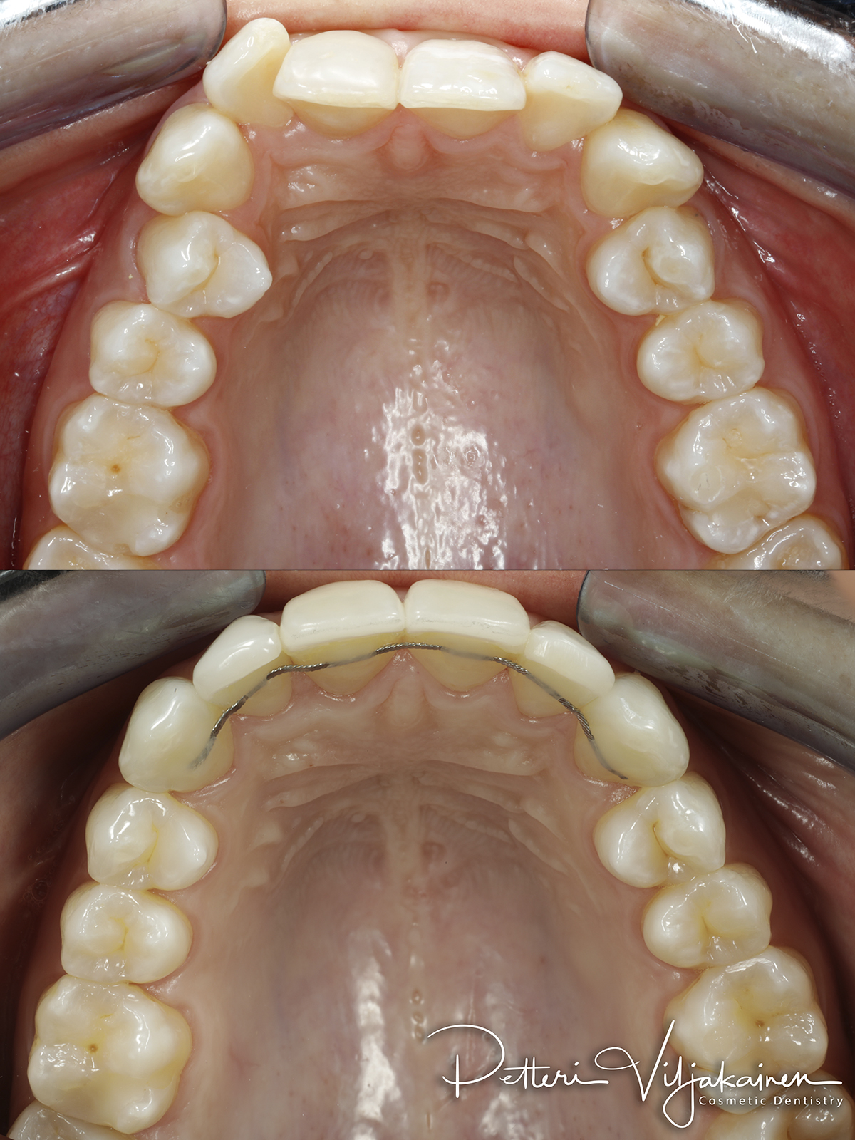
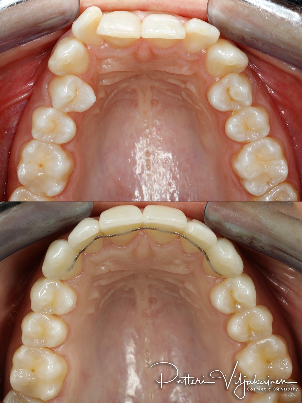
Oikominen on aina retention eli lopputuloksen pysyvyyden kanssa koko loppuelämän hoito. Halusit tai et. Oikomisen jälkeen hampaat pyrkivät palautumaan takaisin kohti lähtötilannetta. Palautuminen on voimakkainta ensimmäisen vuoden aikana. Kaikkien oikomishoitojen jälkeen hampaat pitää "lukita" uusille paikoilleen hoitomenetelmästä tai iästä riippumatta. Valitettavan monelle potilaistani oikomista on tehty jo lapsuudessa, mutta koska lopputulosta ei lukittu aikoinaan mitenkään, esimerkiksi retentiolangoilla, palautuvat hampaat iän mukana jonkin verran tai pahimmassa tapauksessa kokonaan takaisin lähtöpisteeseen. Hampaisto ahtautuu luonnollisesti jonkin verran myös iästä johtuen.
Vaihtoehtoja retentioksi on kaksi: Joko hampaiden taakse pistetään kiinni ohut muotoon taivutettu metallilanka eli retentiolanka, tai öisin pidetään ohutta retentiokalvoa. Retentio valitaan sen perusteella kuinka paljon ja mihin suuntaan hampaita on liikutettu. Paras takuu on valiota molemmat jos purennassa on retentiolangalle tilaa.
Invisalignin omia valmistamia retentiokalvoja kutsutaan Viveroiksi. Niitä tilataan aina 3 kalvoa kerrallaan. Vivera on jonkin verran paksumpi kuin itse oikomisessa käytettävät kalvot ja on tehty aavistuksen eri materiaalista. Ulkonäöllisesti eroa on vaikea huomata. Purentakisko on aivan eri asia kuin retentiokalvo, niitä kahta ei voi verrata toisiinsa. Yhden Viveran käyttöikä on n. 1-5 vuotta.
Normaali käytäntö retentiolle on että alahampaiden taakse tuleee retentiolanka. Tämän lisäksi sekä ylä- että alahampaisiin tilataan lisäksi retentiokalvot eli Viverat. Ylähampaiden takana on purennassa niukalti tilaa eli sinne retentiolankaa ei aina saa mahtumaan.
Kaikkien oikomishoitojemme kustannukset sisältävät hoidon jälkeisen retention eli hampaiden lukitsemisen uusille paikoille joko perinteisellä retentiolangalla ja/tai öisin pidettävällä Vivera retentiokalvolla.
Alla eri tyyppisiä retentiolankoja:



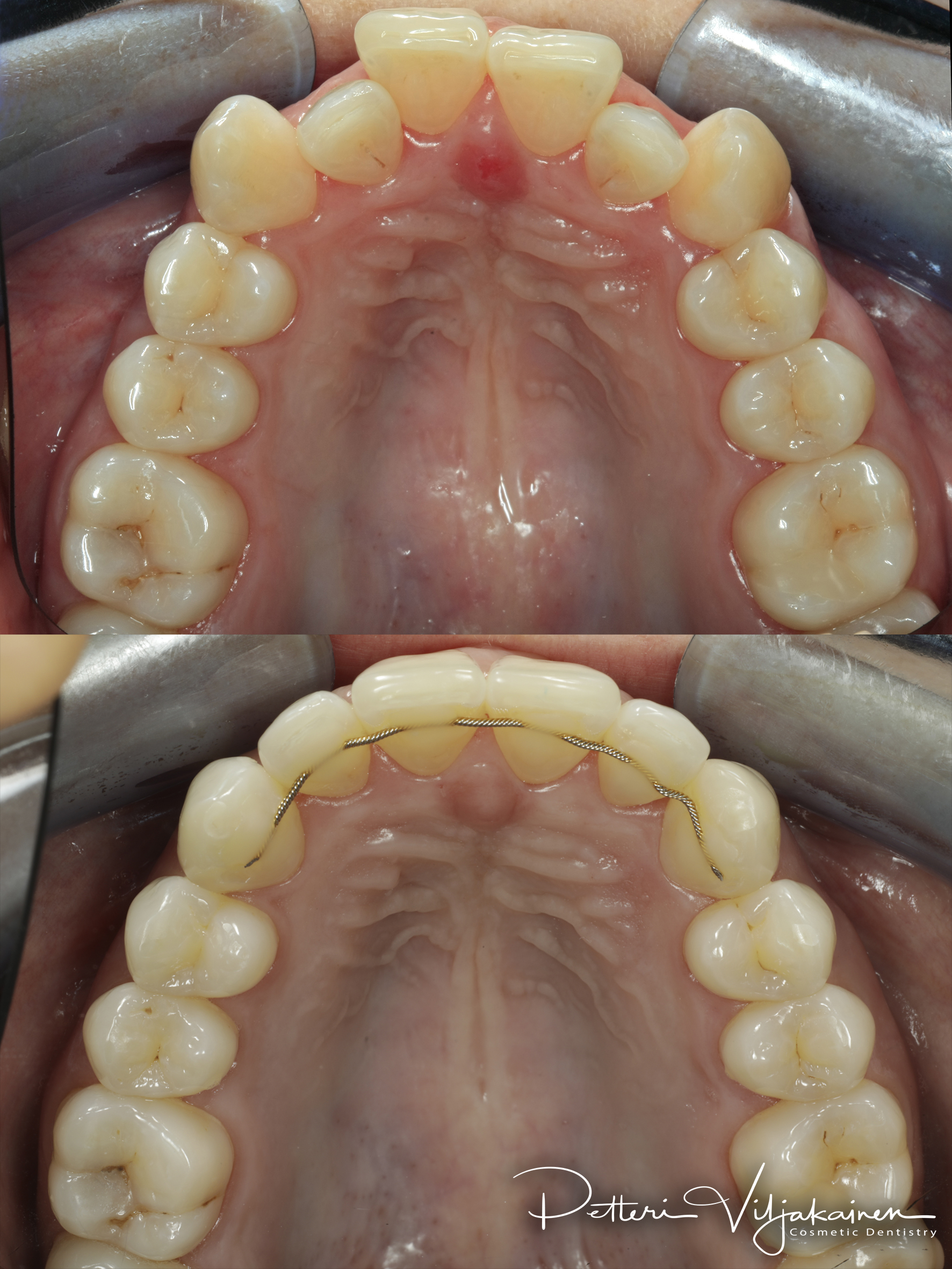
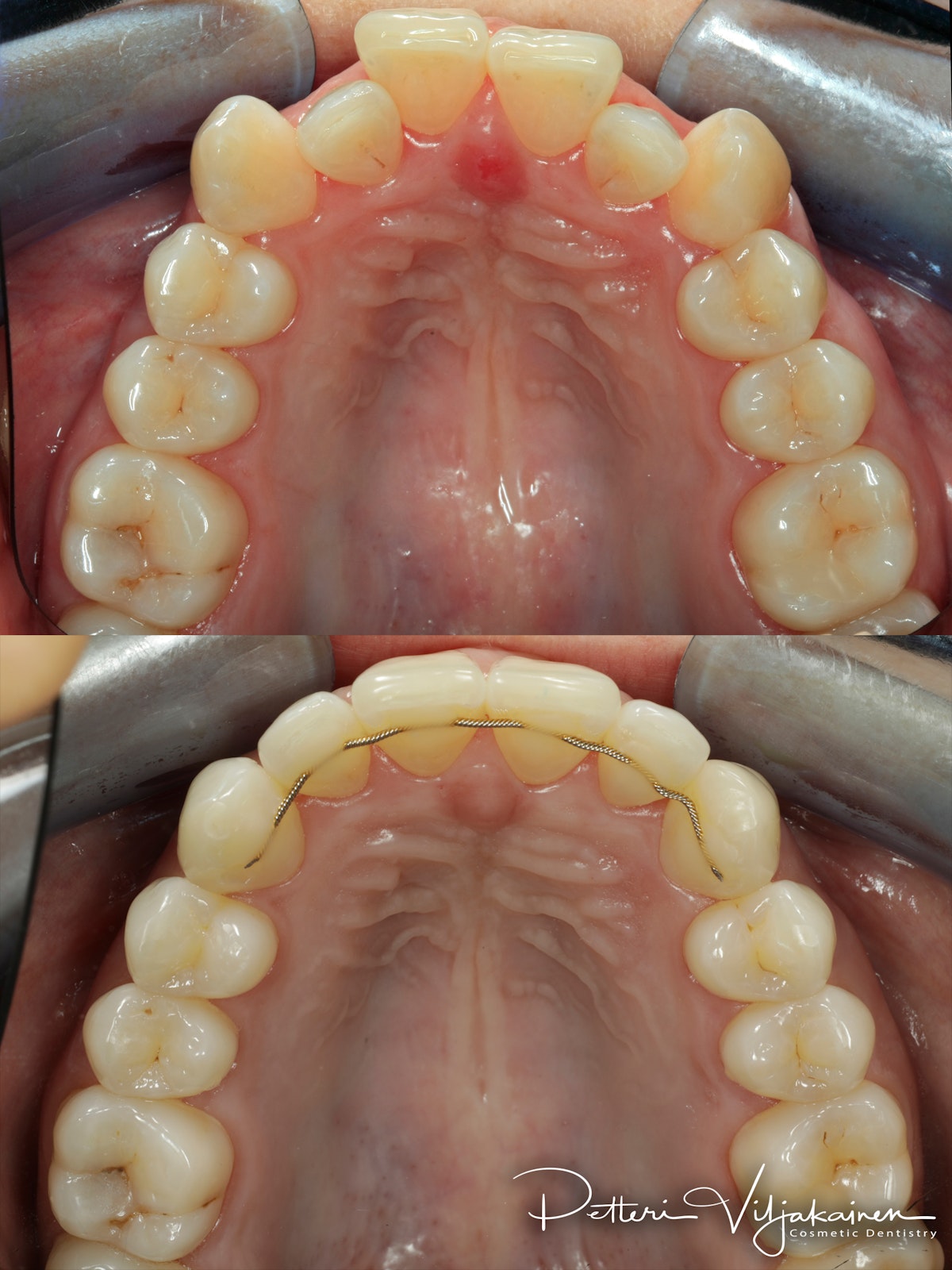
Kiinnikkeet
Eli se mikä hoidossa kiinnostaa eniten. Kuinka huomaamatonta se oikeasti on? Pelkillä kalvoilla ei saa kaikkia liikkeitä toteutumaan. Hampaisiin tarvitaan tiettyjä liikkeitä tehostamaan hampaan värisestä paikkausmuovista tehtyjä tarttumakohtia kalvoille eli kiinnikkeitä. Esimerkiksi pyöreän mallisten hampaiden kiertämiset eivät onnistu pelkillä kalvoilla ilman tarttumiskohtaa hampaissa. Kiinnikkeet kiinnitetään hampaisiin hoidon alkuvaiheessa ja ne ovat paikoillaan hoidon ajan. Ne poistetaan hampaiden pintoihin jälkiä jättämättä kun hampaat ovat oiottu halutuille paikoilleen.
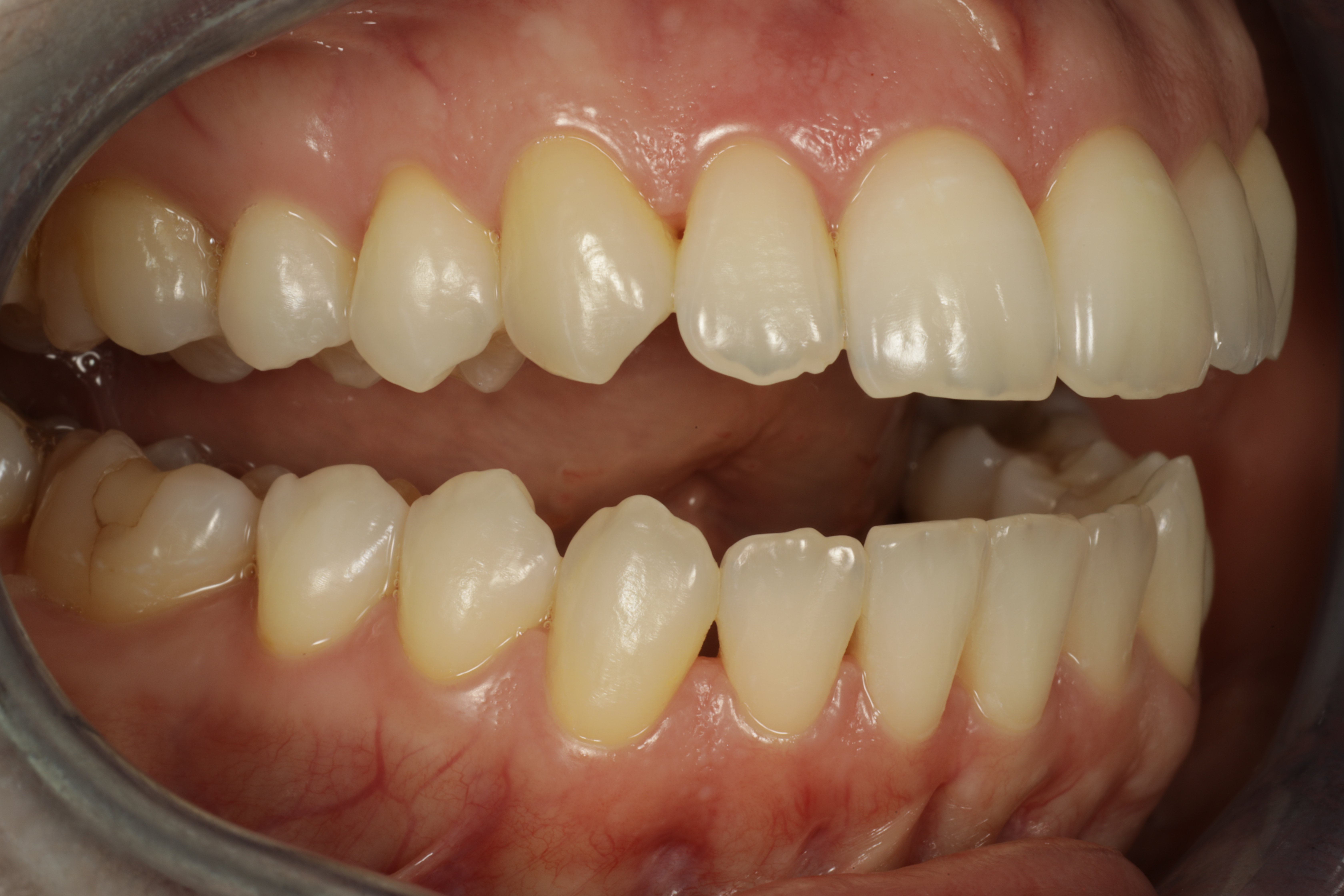
Alkutilanne
Kiinnikkeet paikoillaan
Lopputulos
ClinCheck®
Invisalign on kehittänyt oikomishoitoihin ClinCheck® 3D suunnitteluohjelman, jonka avulla oletetun lopputuloksen voi näyttää jo ennen kuin hoito aloitetaan. Tämän avulla saa aika realistisen kuvan miltä omat hampaan tulevat näyttämään oikomisen jälkeen ja sen, tarvitseeko hampaiden muodoille tehdä mitään hoidon jälkeen.
Alla olevissa videoissa stage -luku kuvaa kalvoparien lukumäärää (joita vaihdetaan 22h vuorokautisella käytöllä viikon välein) hoidon aikana. Tätä lukua katsoessa, ja hoidon kestoa arvioidessa, on kuitenkin muistettava että usein hoidon lopuksi hampaille tehdään aina ulkonäöllisesti pientä hienosäätöä kerrostusmuoveilla / keramisilla hammaslaminaateilla / valkaisuilla ja hampaat tarvitsevat tämän lisäksi 1-2kk aikaa asettuakseen uusille paikoille ennen siirtymistä retentiovaiheeseen. Arvioidessa ClinCheck® videon kalvoparien lukumäärän perusteella hoidon kokonaiskestoa, kannattaa lisätä ajallisesti loppuun 2-3kk lisää niin saa realistisen kuvan hoidon kestosta. Usein viimeiselle 2-3kk:n ajalle kalvot voidaan tilata ilman kiinnikkeitä, joka tekee loppuhoidosta käytännössä näkymättömän.
Puhuminen
Kalvot suussa vaikuttavat puhumiseen jonkin verran alussa. Varsinkin S -äänne sihahtaa alussa korostetusti, mutta kun vaan puhuu paljon niin puhe normalisoituu muutamassa viikossa.
Mistä tila saadaan jotta hampaan mahtuvat suoristumaan
Oikominen aikuisilla on usein ahtautuneiden hammasrivistöjen korjaamista. On neljä tapaa saada lisää tilaa ahtautuneille hammaskaarille. Helpoin tapa on aina työntää ja suoristaa sisäänpäin kallistuneita hampaita ulospäin. Työntyessään ulospäin hampaat luovat hammaskaarelle tilaa. Tätä voidaan tehdä tiettyyn pisteeseen saakka riippuen luun määrästä sekä ikenien tyypistä. Toinen vaihtoehto on poistaa hampaita. Tähän onneksi aika harvoin tarvitsee turvautua koska muita keinoja käytetään ensisijaisesti. Kolmas vaihtoehto on työntää hampaita yksi kerrallaan taaksepäin, tästä käytetään termiä hampaiden distalointi. Tällöin hoitoajat ovat jonkin verran pidempiä ja kalvojen välille pitää luoda linkki lisäämällä niihin pienet kuminauhat molemmin puolin jotta hampaiden liikkeet saadaan suuntautumaan oikein (kts. kuva alla). Distaloidessa hampaita viisaudenhampaat on poistettava koska ne ovat silloin tiellä.
Viimeisin ja yleisimmin käytetty tapa on hampaiden kaventaminen ohuella hiontanauhalla aavistus kerrallaan jotta ne mahtuvat hammaskaarille paremmin. Tästä käytetään nimitystä IPR eli interproximal reduction. Kahden hampaan välissä on normaalisti kiillettä n. 1,0-1,5mm. Tästä maksimissaan 0,5mm (eli 0,25mm / hammas), alaetuhampaissa 0,4mm, voidaan poistaa turvallisesti ilman että hampaita alkaa vihlomaan tai ne lähtevät reikiintymään yhtään herkemmin. Tilan tekemisen jälkeen hampaiden pinnat kiillotetaan ja fluorataan. Tilaa tehdään usein useammasta välistä vähän kerrallaan.
3D mallinnuksen hyvä puoli on että hammaslääkäri voi käydä useamman vaihtoehdon digitaalisessa maailmassa läpi ja valita potilaalle sopivimman vaihtoehdon.
Kuminauhat ja distalointi
Mittaustavasta riippuen kahdella kolmasosalla aikuisista Suomalaisista on jonkiasteinen purentavirhe. Jos yläleuan hampaat ovat alahampaita edempänä, puhutaan mesiaalipurennasta ja toisinpäin distaalipurennasta. Näiden korjaamiseksi kalvoilla on pystyttävä liikuttamaan koko hammaskaaren hampaita suhteessa vastapuolen hampaisiin. Ilman linkkiä kalvojen välillä tämä ei tapahdu.
Yhteys kalvojen välillä luodaan käyttämällä pieniä kuminauhoja. Yleensä kuminauhan toinen pää kiinnittyy poskihampaan pintaan kiinnitettävään nuppiin, ja toinen pää kalvossa kulmahampaan kohdalla olevaan loveen. Näiden avulla tapahtuvaa liikettä kutsutaan distaloinniksi. Kuminauhoja käytetään sama tuntimäärä vuorokaudessa kuin kalvojakin. Ne saavat oikomishoidon näkymään aavistuksen enemmän, mutta normalisti puhuttaessa kuminauhoja on aika vaikea huomata
Hoidon kulku ja kustannusten jakautuminen
1. 30min konsultaatio. Mahdollisuus näyttää iTero skannerilla outcome -simulaatio siitä miltä omat hampaat tulevat oikomisen jälkeen näyttämään. Uutuutena (2024) myös näyttää Invisalignin Outcome simulator Pro -ohjelman avulla mahdollinen oikomisoito näyttäisi kasvokuvassa hoidon loputtua.
2. Jos päätät lähteä hoitoon tarvitsemme vielä koko leuan PTG röntgenkuvan n. 90€ ja allekirjoituksen suostumus -lomakkeeseen jossa käydään kaikki hoidon yksityiskohdat läpi. Hoidon kustannusten jakautumisen käyminen läpi.
3. 45min hoidon aloituskäynti suuhygienistillä (n. 4 viikkoa edellisestä käynnistä). Saat ensimmäiset 3-5 kalvoa mukaan ja hoidon käytännön asiat käydään kanssasi läpi. Hampaisiin pistetään kiinnikkeet.
4. Käyntejä 4-6 viikon välein sekä minulla että suuhygienisteillämme.
5. Hoidon loppuvaiheessa retentio (Viverat ja/tai retentiolangat), hampaiden mahdollinen valkaisu sekä korjaava hoito.
6. Lopussa eteen tulevia kustannuksia koituu mahdollisesta hampaiden valkaisusta sekä korjaavasta hoidosta esteettisillä muovitäytteillä / keraamisilla kuorilla
Oikomista tehdään usein kuluneisiin hampaisiin ja lähes aina oikomisen jälkeen hampaiden muotoiluun tarvitaan korjaavaa hoitoa joko yhdistelmämuovitäytteillä tai keraamisilla kuorilla. Korjaavasta hoidosta koituvat kustannukset tulevat oikomisen kustannusten päälle. Nämä eivät tule lopussa yllätyksenä vaan ne käydään läpi ennen kuin hoito aloitetaan. Lisää tietoa toimenpiteistä löytyy
esteettinen hammashoito -osiosta
Eteen mahdollisesti tulevat ongelmat
Hoidon aloittamisen jälkeen hampaat ovat normaalisti 1-2 vuorokautta arat, tunne menee kuitenkin nopeasti ohi. Invisalign on pitkän tuotekehittelyn perusteella suunnitellut kuinka nopeasti hampaita voidaan liikuttaa mahdollisimman kivuttomasti.
Joskus kalvojen reunoissa on kohtia, jotka hiertävät huuliin/poskiin tai kieleen. Hampaiden ollessa ahtautuneet on mahdotonta tehdä kalvoja jotka istuvat täydellisesti hampaiden kaikille pinnoille. Usein tällöin riittää hiertävän kohdan pieni pyöristys kynsisaksilla tai -viilalla.
Viimeinen mahdollinen eteen tuleva "ongelma" on että hampaat eivät liiku aivan niin kuin on suunniteltu. Tällöin hoidon lopuksi tarvitaan muutama hienosäätökalvo lopputuloksen viimeistelemiseksi. Näistä kalvoista ei koidu lisäkustannuksia vaan ne kuuluvat hoidon kustannuksiin. Maksat hyvästä lopputuloksesta, et lisäkalvoista.
Mitä jos en ole tyytyväinen lopputulokseen?
Ennen hoidon aloitusta läpi käytävän hoitosuunnitelman mukaan pääsemme valtaosassa tapauksista haluttuun lopputulokseen. Joskus kuitenkin viimeiseen hienosäätöön tarvitaan muutama lisäkalvopari. Tästä käytetään nimitystä refinement. Käytännössä se tarkoittaa Lite hoidoissa 1-14 hoidossa käytettävien kalvoparien lisäksi tilattavia kalvoja, joilla lopputulos viimeistellään. Comprehensive hoidoissa näitä kalvoja kutsutaan nimellä additional aligners.
Hoito on valmis sitten kun molemmat meistä olemme tyytyväisiä realistiseen lopputulokseen! Kuulet jo konsultaatiokäynnillä jos on jotain mitä en voi Invisalign hoidolla toteuttaa. Käymme ennen hoidon alkua tarkasti sen läpi mitä haluttuun lopputulokseen pääseminen vaatii ja mitkä hoidon kokonaiskustannukset tulevat olemaan.
Jos olen sitä mieltä etten voi saada haluttua lopputuloksta hoidolla aikaan, en lähde aloittamaan hoitoa. Tämän vuoksi sitä käy äärimmäisen harvoin, että potilas ei ole hoidon loputtua tyytyväinen lopputulokseen.
Miten kalvoja puhdistetaan?
Pääsääntöisesti hammasharjalla sekä nestemäisellä saippualla. Hammastahnaa voi käyttää kalvojen puhdistamiseen, mutta silloin kalvon pinnan voi saada "rikki" eli läpikuultavuuden katoamaan jos käytetään liian karkeaa hammastahnaa. Apteekista saa erityisesti oikomiskalvojen kemialliseen puhdistamiseen suunniteltuja tuotteita esim: IsoDent Ortho sekä Corega Tabs. Ultraäänipesuria voi myös kokeilla jos tuntuu etteivät Corega -tabletit riirä.
Voiko hoitoa nopeuttaa mitenkään?
Kalvoja voidaan vaihtaa uusiin aikaisintaan 7 päivän välein. Kaksi muuta asiaa, mihin voidaan vaikuttaa, ovat käyttötunnit kalvojen kanssa vuorokaudessa sekä kuinka tehokkaasti kalvot painuvat pohjaan asetettaessa ne paikoilleen. Pohjaan painumista voidaan tehostaa käyttämällä invisalignin suunnittelemia pururullia eli chewieksiä.
Markkinoilla on aikaisemmin ollut hampaita täristäviä "nopeuttimia", jotka stimuloivat aineenvaihdustaa luussa hampaiden ympärillä, ja sitä kautta nopeuttavat oikomista. Näistä tunnetuin on AcceleDent. Invisalignin tuotekehitys viime vuosina kuitenkin mahdollistaa kalvojen vaihdon viikon välein aikaisemman kahden viikon sijaan, joten nämä laitteet ovat poistumassa markkinoilta.
Tehokkaimmin hoito etenee kun kalvoilla saa 22h käyttöaikaa vuorokaudessa ja aina asetettaesssa kalvoja paikoilleen käytetään apuna pururullia eli chewieksiä tehostamaan niiden pohjaan painumista.
Laura otti hoitonsa aikana säännöllisesti aamuisin hymykuvia. Videosta näkyy hyvin miten hampaat liikkuvat hoidon edetessä.
"Superisti kiitos Petteri hampaideni oikomis- ja valkaisuhoidosta. En voisi olla lopputulokseen tyytyväisempi! Hammasrivistöstä tuli omasta mielestäni täydellisen suora ja valkoinen. Kaunis hymy piristää ja nuorentaa kasvojen ilmettä selkeästi.
Kiitos myös siitä että sain koko hoidon ajan apua ja neuvoja pohtimiini asioihin ja kysymyksiin. Tunsin olevani asiantuntijan käsissä ja pystyin luottamaan siihen että lopputuloksesta tulee juuri sellainen kuin toivon.
Five stars ⭐️ ⭐️⭐️⭐️⭐️"
- Heidi Vidgren
"Uskomattoman hyvä lopputulos - hyvää kannatti odottaa! Petterille "ihan hyvä" ei riitä, lopputuloksen on oltava just eikä melkein. Petterille oikomishoito ei ole pelkkä mekaaninen toimenpide, vaan hän huomioi sen, että lopputuloksella voi olla asiakkaalle suurempikin merkitys kuin vain suora hammasrivistö. Suosittelen ehdottomasti!"
- Ingrid Airaksinen
"Erittäin asiantunteva hammaslääkäri, joka hoiti projektin alusta loppuun saakka rautaisella ammattitaidolla. Hoito sujui mutkattomasti ja lopputulos on mielettömän hyvä. Täydet suositukset Petterille ja Invisaling-hoidolle!"
- Anu Nyström
"Sain uuden kauniin hymyn vaivattomalla ja lähes huomaamattomalla tavalla Invisalign- kalvoja käyttäen loistavan hammaslääkäri Petteri Viljakaisen suunnitelmalla ja toteutuksella. Lämmin suositus, olen niin tyytyväinen!"
- Lilja Laukka
"Olen todella tyytyväinen lopputulokseen ja ammattitaitoiseen oikomishoitoon. Voin lämpimästi suositella Petteriä :)"
- Janita Huuhtanen
"Takana melkein kolme vuotta ja useita kymmeniä käyntejä Petterillä ja aina olen ollut tyytyväinen. Moni pelkää hammaslääkäriä, mutta minulle se ollut kuin parturissa käynti, vaikka ihan pienestä remontista ei ollut kyse."
- Juha
"Petteri Viljakainen made me a new smile! I’m just happy, that I didn’t have to wear iron braces, we straightened my teeth in 10 months thanks to inviseline. It’s expensive, but worth it! Thanks to Petteri😁"
- Polina Liiv
"Ulkoneva etuhammas oli vaivannut itseäni jo vuosia ja olin miettinyt oikomista. Luulin, että oikominen aikuisiällä olisi pitkä prosessi. Oikomisprosessi sujui kuitenkin todella vaivattomasti ja olen erittäin tyytyväinen lopputulokseen. Suora hammasrivi puolessa vuodessa! Kiitos Petteri!"
- Annukka
"Oikomishoito sujui hienosti Invisalign menetelmällä. Hammasriveistä tuli hienot ja muutos alkutilanteeseen nähden on todella suuri! Olen todella tyytyväinen lopputulokseen ja voin mielelläni suositella Petteriä."
- Lauri Taivainen
Hammaslääkäri Petteri Viljakainen
Hoito alkaa ilmaisella 30 min konsultaatioajalla. Ajan voit varata tästä. Tervetuloa!
Olen pelkästään esteettiseen hammashoitoon keskittynyt hammaslääkäri, kansainvälinen kouluttaja sekä luennoitsija. Otan vastaan asiakkaita eSmile:n Espoon vastaanotolla Kauppakeskus AINOAssa.
©Petteri Viljakainen