10.1.2022
Suoritan tällä hetkellä American Academy of Cosmetic Dentistryyn (AACD) Fellowship -tutkintoa. se tapahtuu tekemällä ja dokumentoimalla tietyt ennaltamäärätyt potilastapaukset akatemialle. Tutkinto on ehkä maailmalla kaikista arvostetuin esteettisen hammashoidon tunnustus. Sen on akatemian 30 -vuotisen historian aikana suorittanut 81 hammaslääkäria, Euroopasta ei vielä kukaan. Haen mukaan potilastapausta, jossa puuttuva yläetu- / kulmahammas korvataan joko implantilla tai sillalla. Anna sopivalle potilastapaukselle -25% työn osuudesta ja takuun äärimmäisen laadukkaasti toteutetusta hoidosta. Jos olet kiinnostunut asiasta, ota hampaistasi / hymystäsi muutama kuva ja lähetä ne -> [email protected] niin katsotaan josko olisit sopiva hakemani asiakas.
Tapahtuu nykyään miltei poikkeuksetta hammasimplantilla eli keinojuurella sekä sen päälle kiinni ruuvattavalla näkyvällä osalla eli impanttikruunulla. Useita vierekkäisiä puuttuvia hampaita korvatessa käytetään usean implantin varaan kiinnitettäviä implanttisitoja.
Yksittäisen hampaan poistamisen jälkeen, poistoalueen pitää normaalisti parantua ja luutua n. 3-6 kuukautta ennen kuin implantti voidaan asettaa paikoilleen. Paranemisen ajaksi puuttuvan hampaan kohdalle tehdään usein väliaikainen ratkaisu joko naapurihampaisiin kiinnitettävällä tai irroitettavalla muovista / akryylista valmistetulla hampaalla.
Implantin pitää antaa luutua ennen kuin sitä voidaan kuormittaa eli näkyvä implanttikruunu asettaa paikoilleen. Normaalisti tähän menee samoin n. 3-6 kuukautta. Eli hampaan poistusta uuden pysyvän implanttikruunun asettamiseen paikoilleen menee kokonaisuudessaan n. 6-12kk. Joskus harvoin, olosuhteiden ollessa optimaaliset, implantti ja sen päälle tuleva kruunu voidaan asettaa paikoilleen lyhyemmässäkin ajassa.
Proteettisia siltoja tehdään nykyään vähemmän, koska nykyisen tutkimustiedon valossa hampaita joudutaan tällöin poraamaan kohtuuttoman paljon ja tämä johtaa isolla prosentilla 5-10 vuoden kuluttua tukihampaiden juurihoitoihin ja pidemmällä aikavälillä pahimmassa tapauksessa tukihampaiden poistoihin (1).

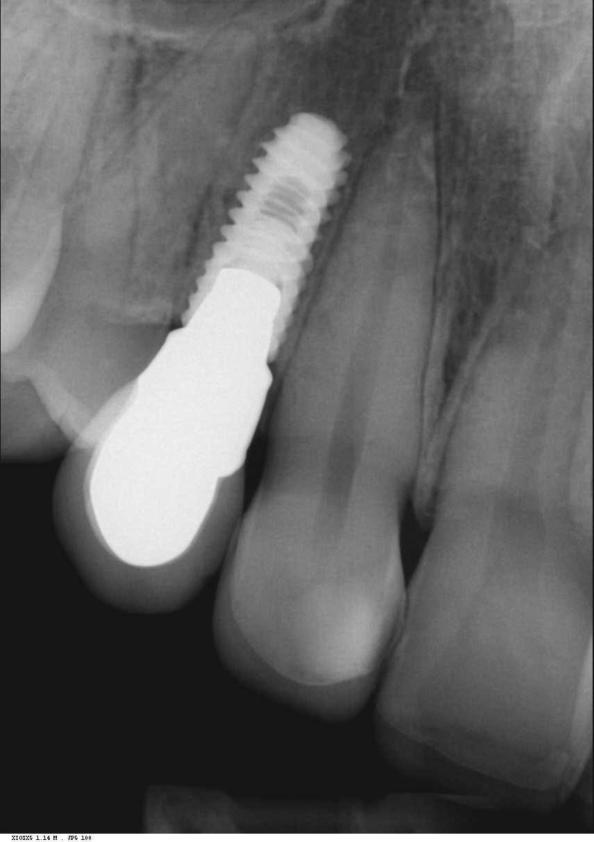
Implanttikokonaisuus koostuu luuhun ruuvattavasta implantista eli fikstuurasta, näkyvästä osasta eli implanttikruunusta ja näitä yhdistävästä implanttijatkeesta jonka avulla kruunu kiinnittyy ruuviin.
Case 1.
Esimerkkitapauksena nuori 25-vuotias nainen, jolla puuttuivat syntymästä pysyvät reunimmaiset yläetuhampaat eli inkisiivit. Pysyvät kulmahampaat ovat siirtyneet niiden paikalle sekä maitokulmahampaat ovat vielä paikoillaan. Hoidosta oli esteettisesti haastava toteuttaa, koska yläetuhampaiden ienrajat tulisivat olla samalla tasolla (2).
Hoito on läpäissyt British Academy of Cosmetic Dentistryn akkredioinnin.
Implantit asetti paikoilleen EHL, LL Uula Kitti. Implanttikruunuista sekä etuhampaiden kuorista vastasi hammasteknikkomestari Aki Lindén.
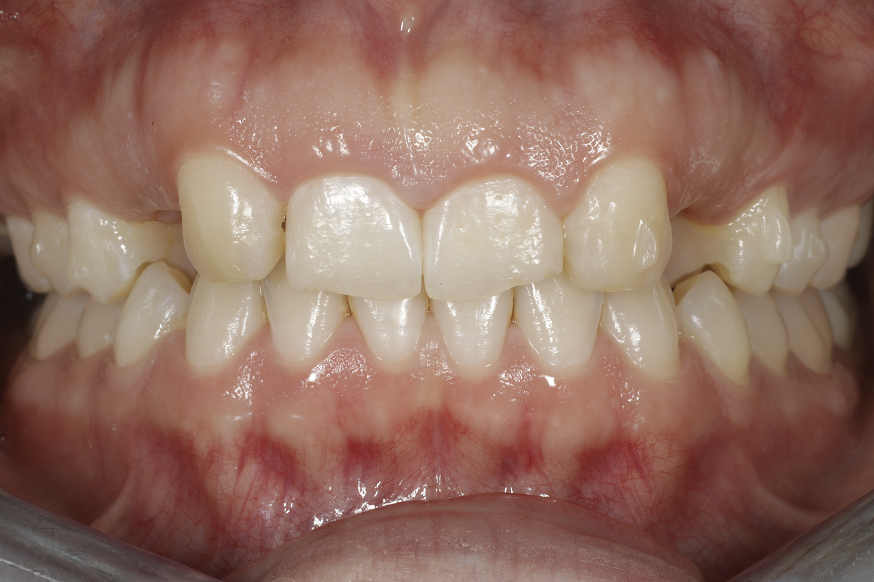
Alkutilanne.
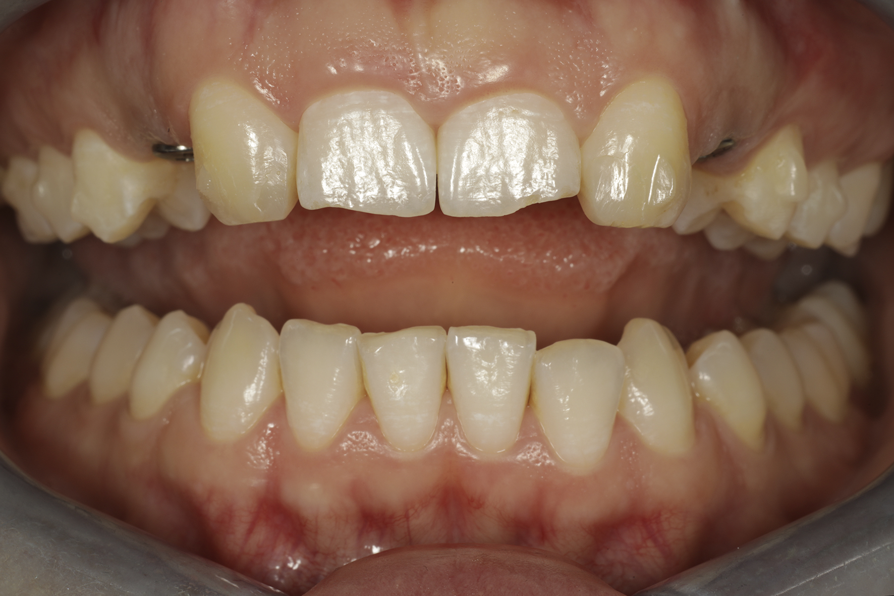
Alkunäkymä huulet retraktoreilla sivuun loitonnettuina.
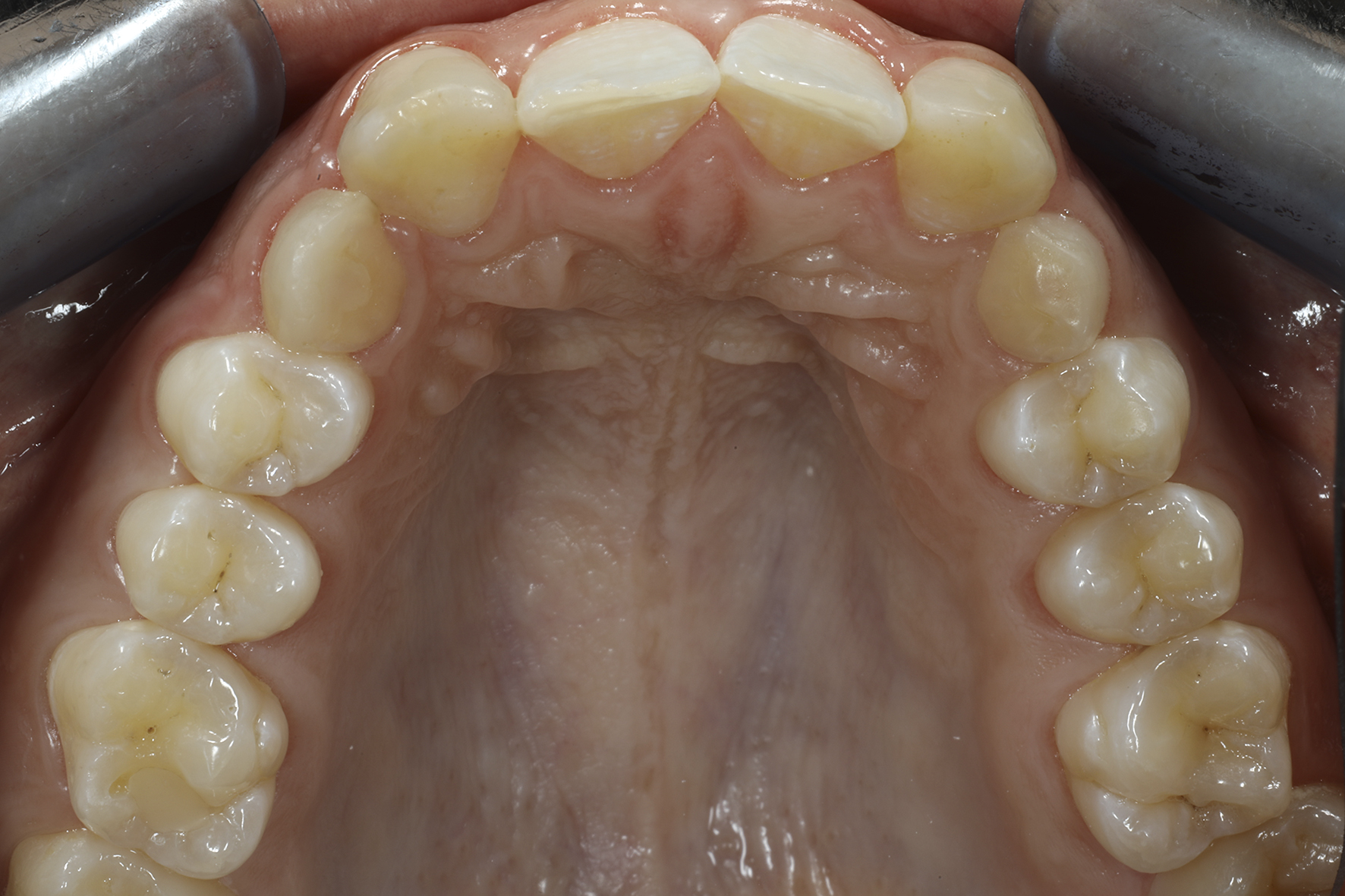
Näkymä okklusaalipeilin kautta nähtynä.

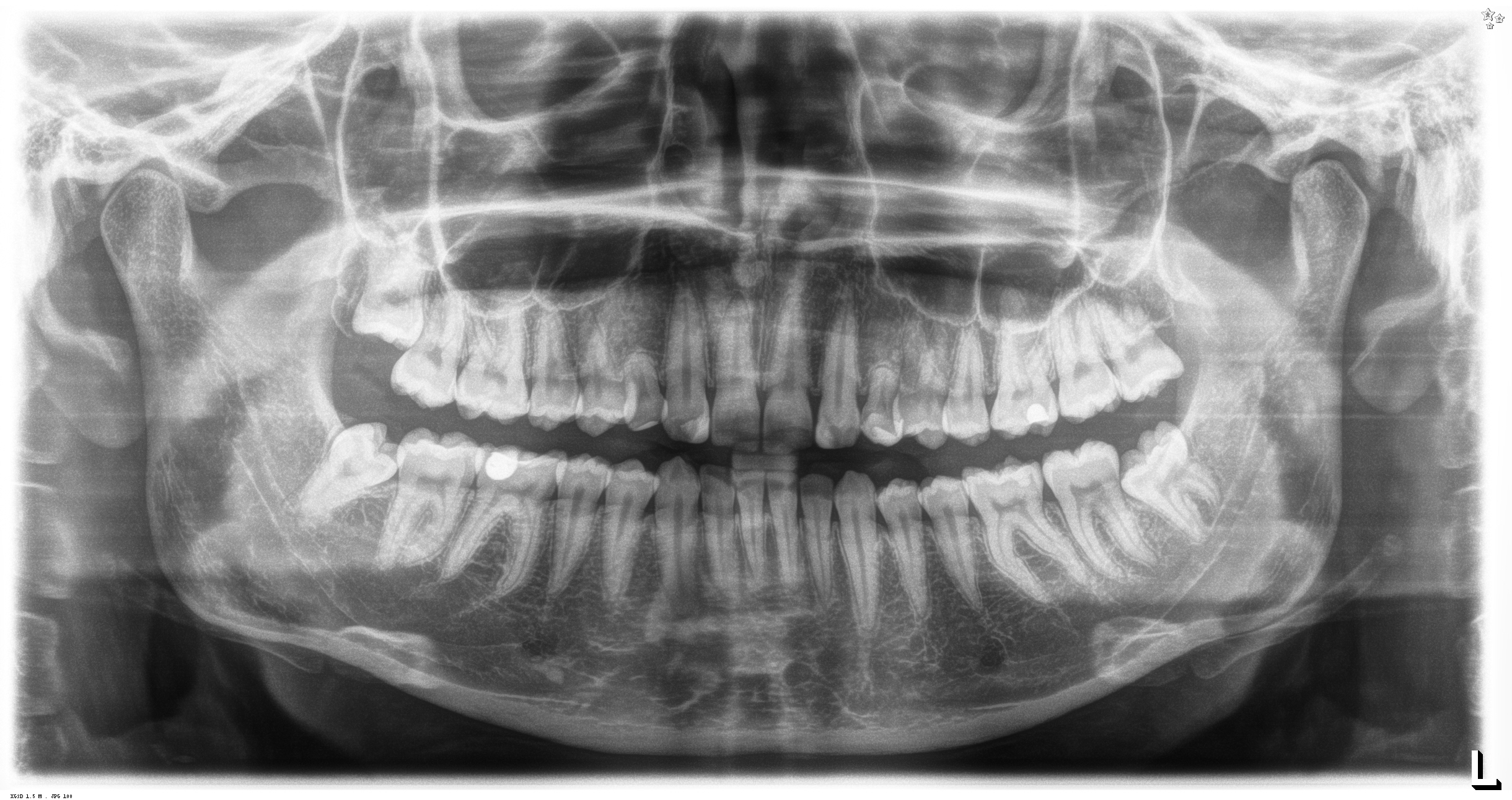
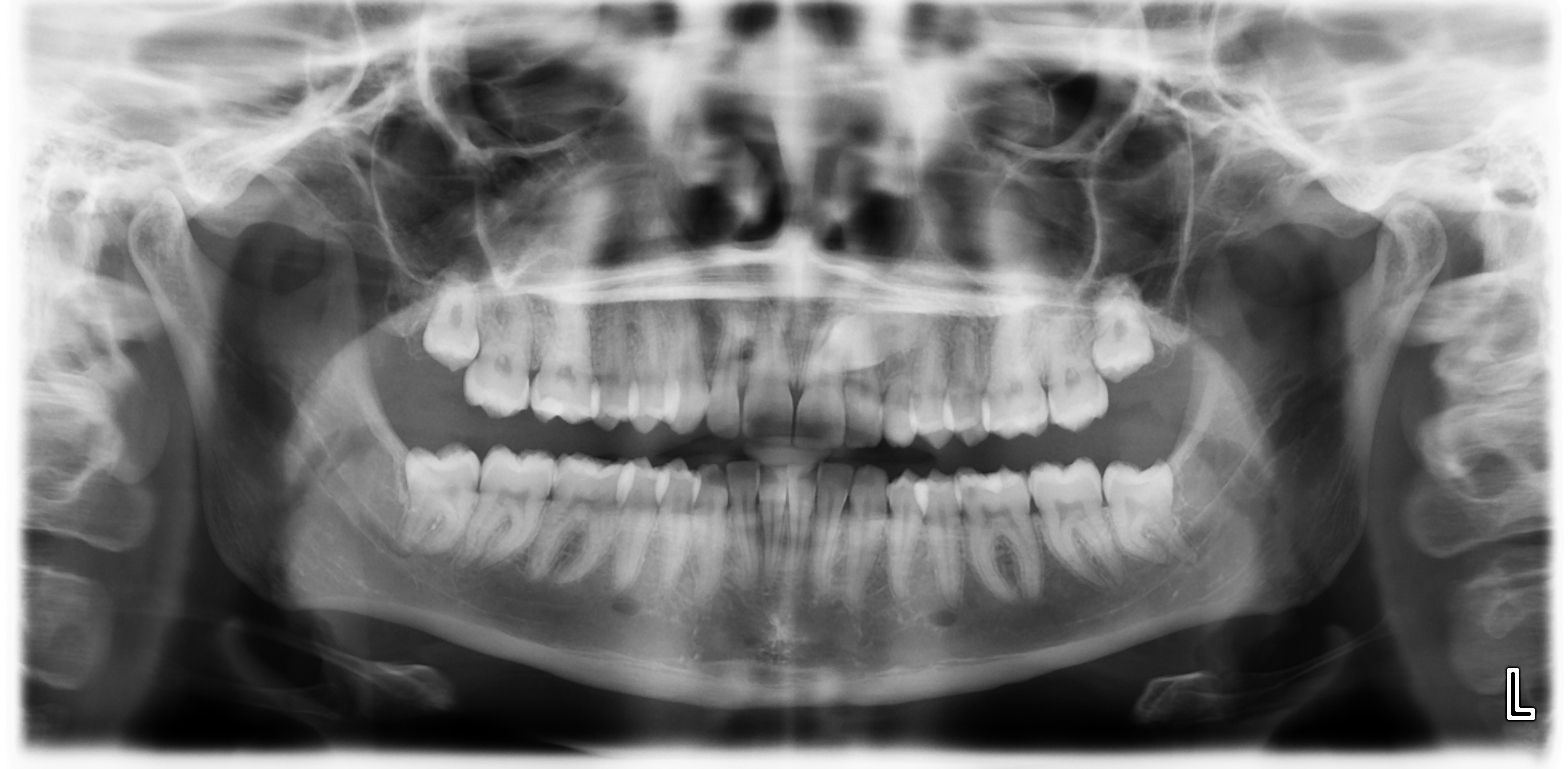
OPTG eli koko leuan rtg kuva alkutilanteesta
Maitohampaat poistettu sekä oikomisella alettu tekemään tilaa tuleville implanteille.
Sama näkymä edestä

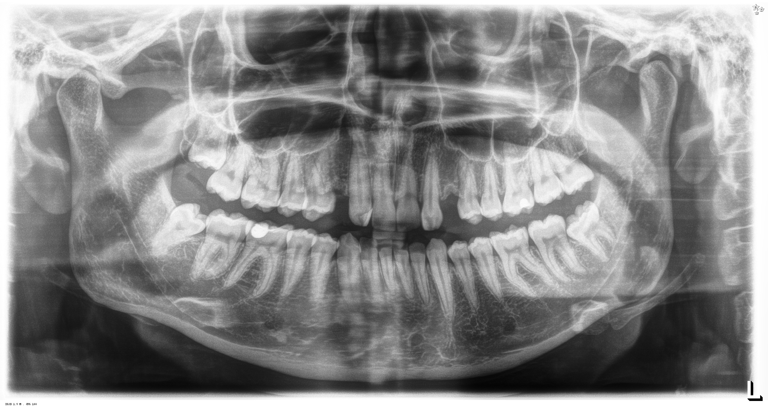
Radiologinen näkymä tilanteesta
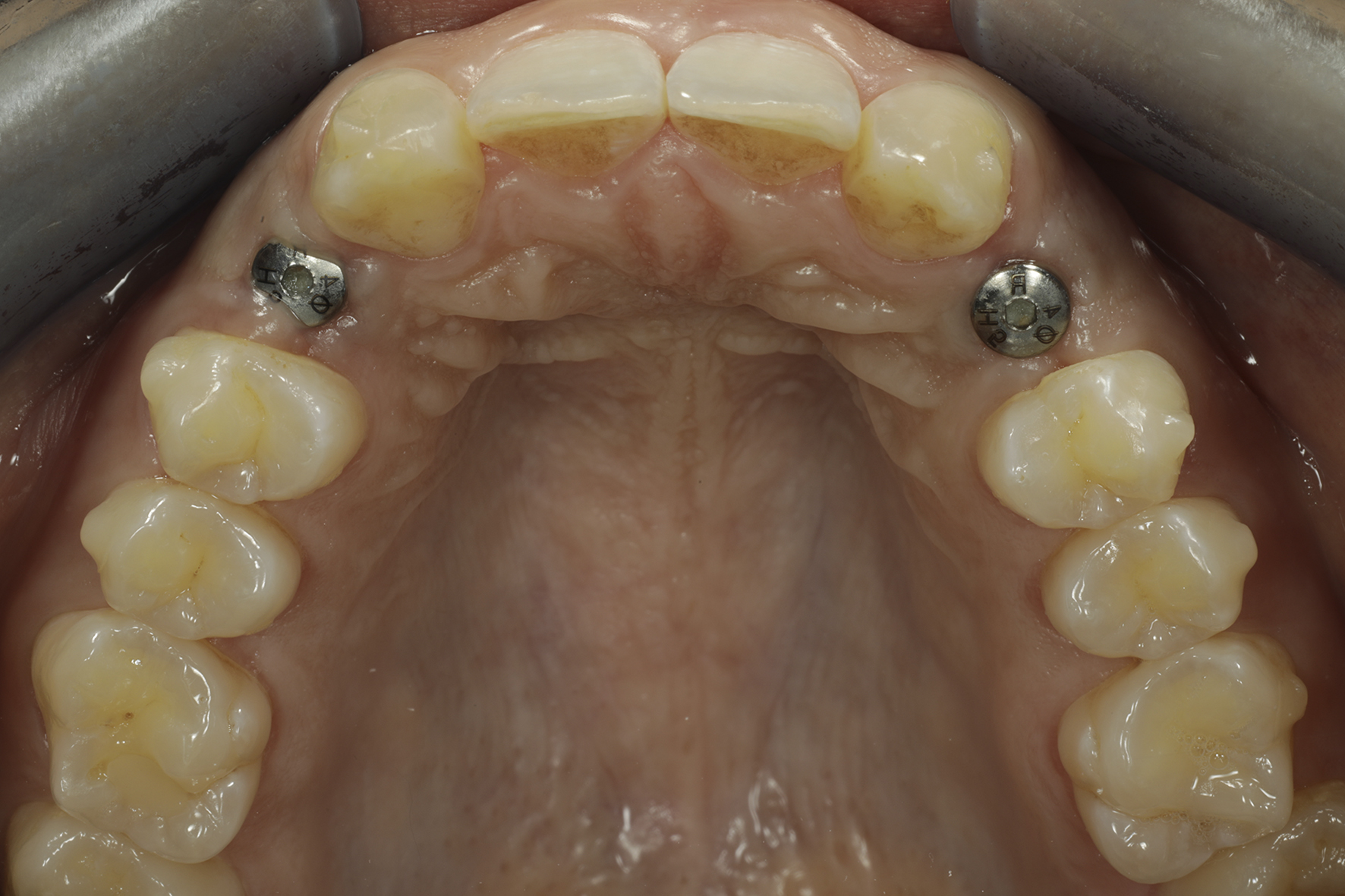
Implantit paikoillaan 1/3
Implantit paikoillaan 2/3

Implantit paikoillaan 3/3
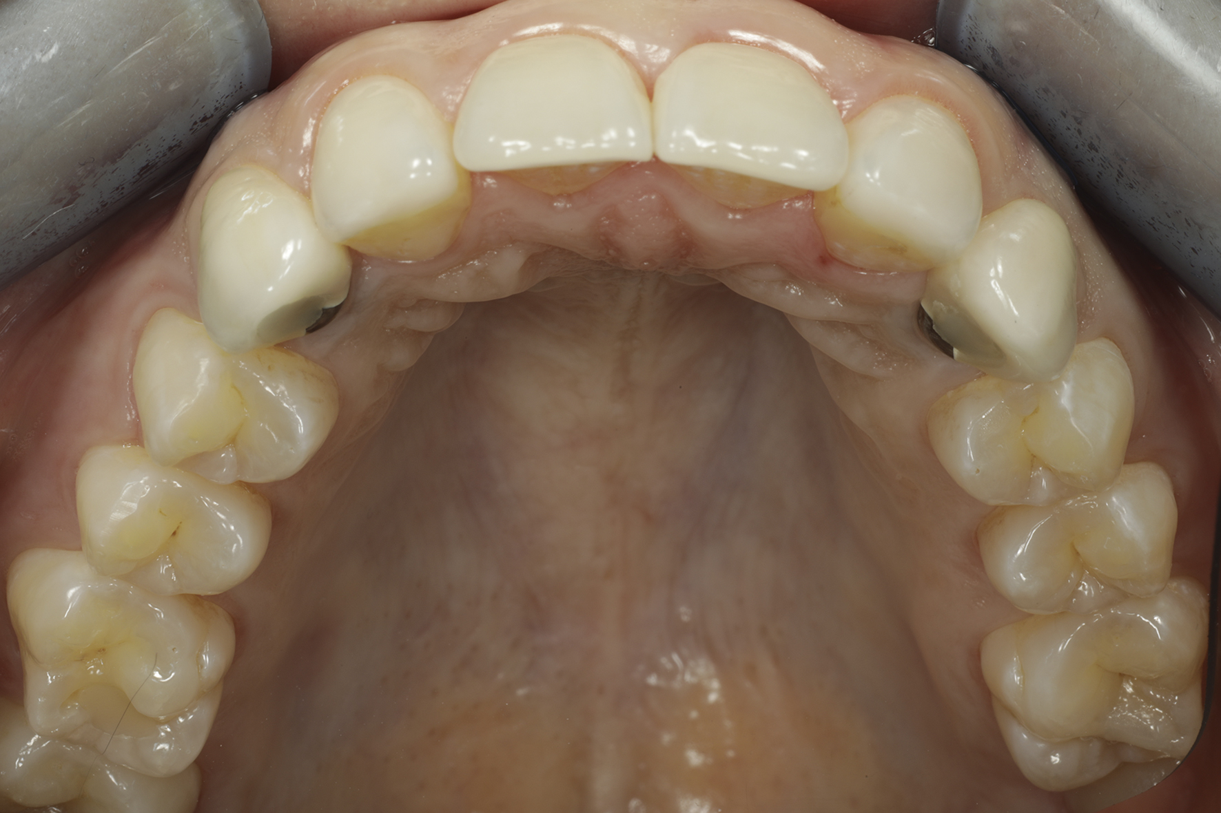
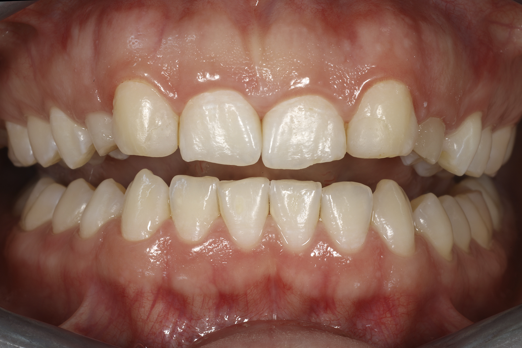
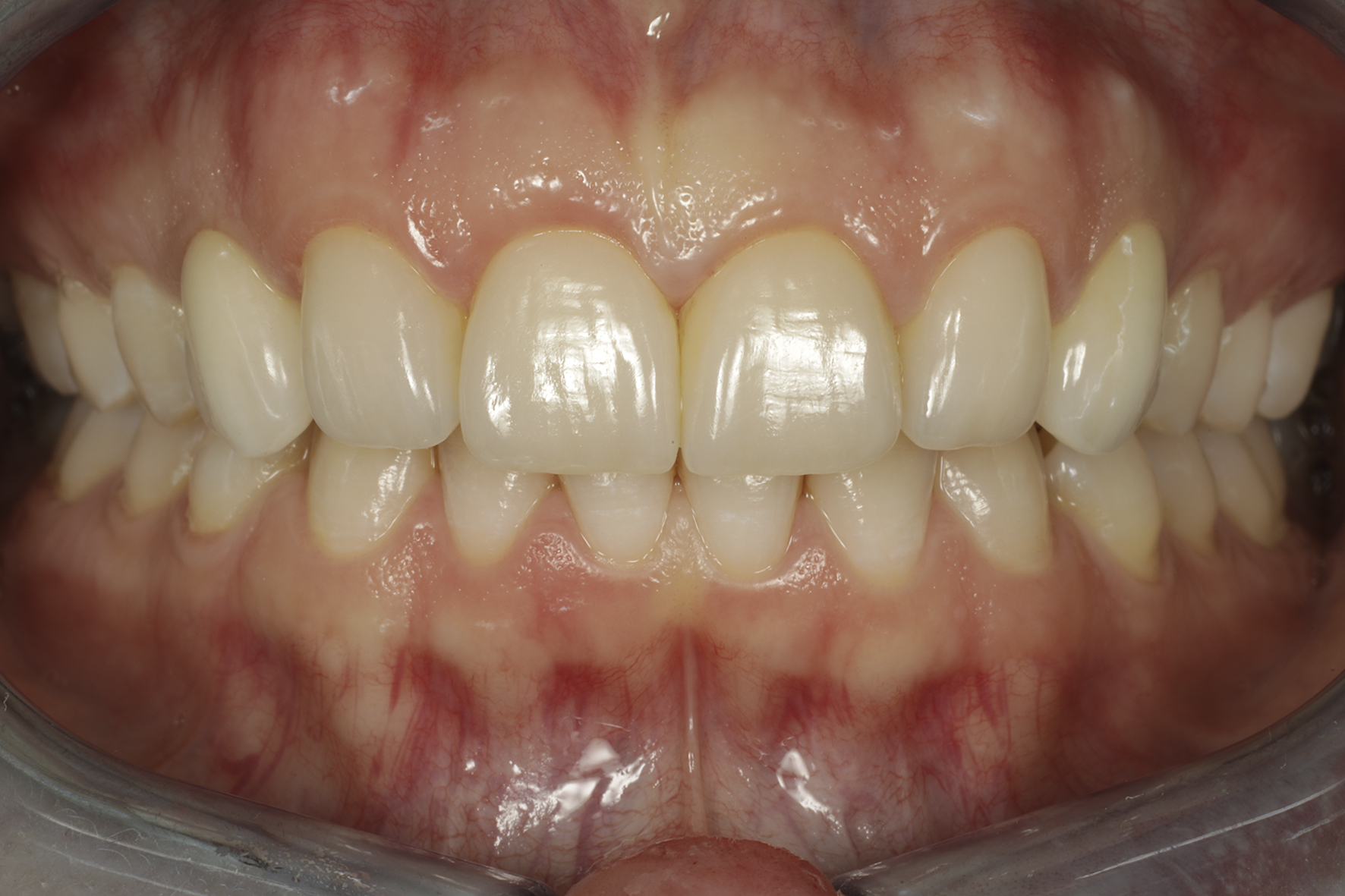
Lopputilanne 1/4. Implanttikruunut kulmahampaissa sekä ohuet keraamiset kuoret neljässä yläetuhampaassa paikoillaan.
Lopputilanne 2/4
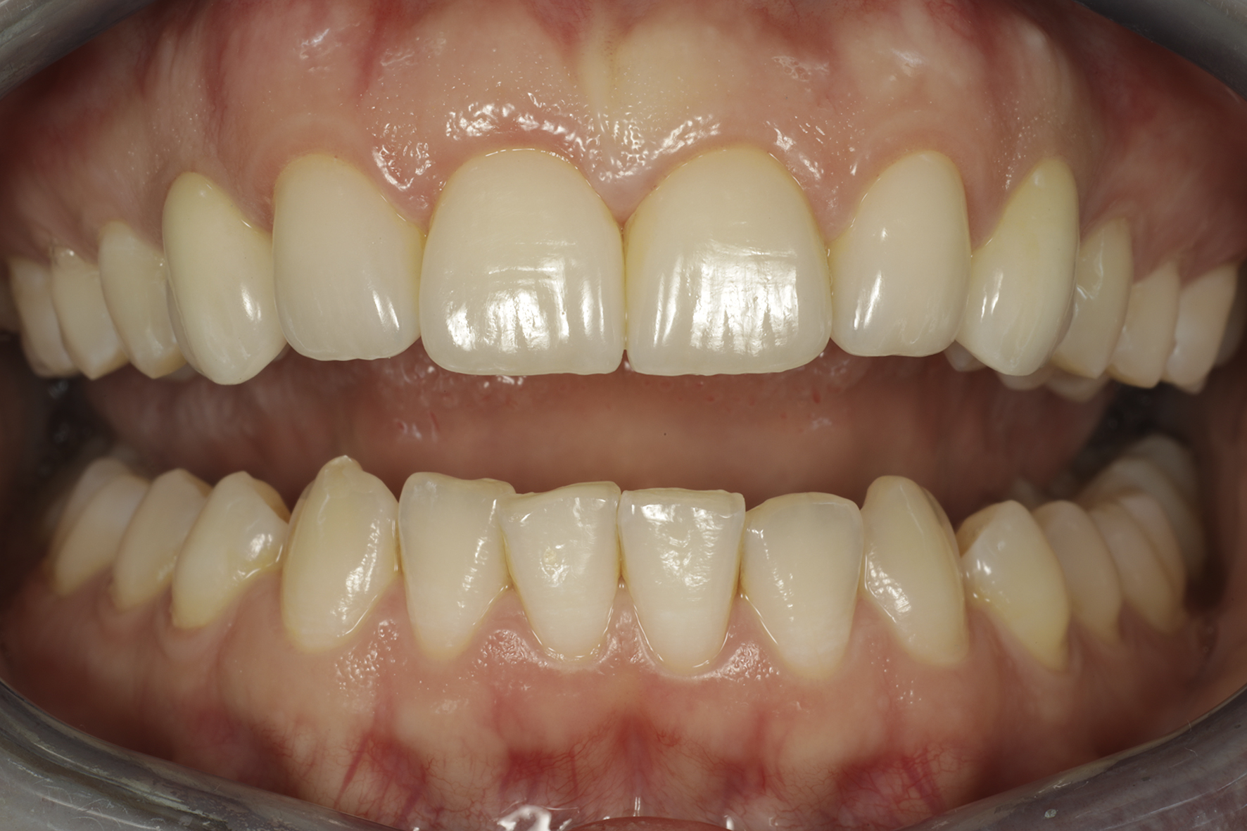
Lopputilanne 3/4
Lopputilanne 4/4

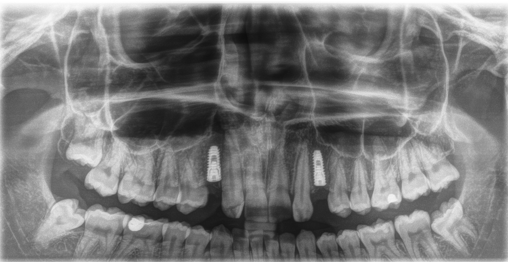
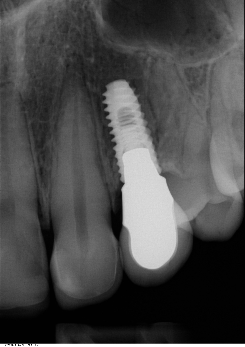
Radiologinen näkymä lopputilanteesta. Implanttikruunut paikoillaan.

Sama tilanne toiselta puolelta
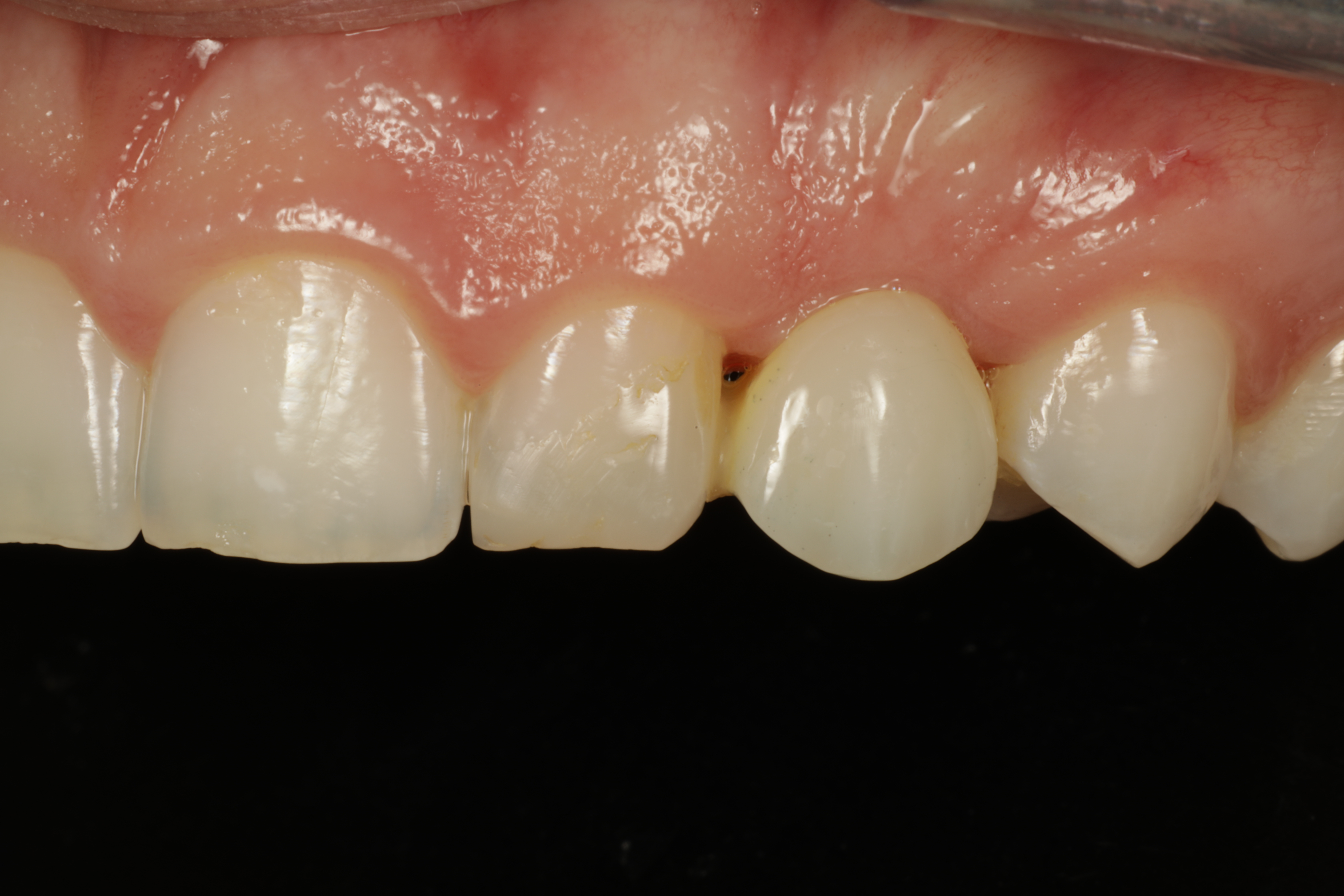
Case 2.
Synnynnäisesti puuttuva kulmahammas. Alkukuvissa hammas on korvattu muovisella kevytsillalla. Silta purettu pois ja asetettu implantti puuttuvan hampaan tilalle. Kirurgina Jarno Savolainen eSmile Helsinki. Hammasteknikkomestari Aki Lindén.
Alkutilanne
Alkutilanne
Alkutilanne läheltä
Lopputilanne
Lopputilanne
Lopputilanne läheltä

Alkutilanne jossa kevytsilta paikoillaan

Implantti asetettu paikoilleen. Kevytsilta kiinnitetty takaisin paikoilleen väliaikaiseksi ratkaisuksi.

Lopputilanne

Alkutilanne ennen kevytsiltaa. Kulmahammas poikittain syvällä luun sisällä, maitohammas pysyvän kulmahampaan paikalla. Hoidon aikana molemmat poistettu. Ja implantti asetettu paikoilleen
Yhteistyössä:
Teen yhteistyötä usean eri kirurgin kanssa. Jokaisella heistä on implanttisysteemeistä oma suosikkinsa. Yleisimmin käytetyt systeemit ovat Straumann sekä Osstem.
Protetiikka onnistuu useimpien jo tehtyjen implanttien päälle.
Lähteet:
1. Cheung GS, Lai SC, Ng RP: Fate of vital pulps beneath a metal-ceramic crown or a bridge retainer. Int Endod J. 2005 Aug;38(8):521-30
2. Chu SJ, Tan JH, Stappert CF, Tarnow DP. Gingival zenith positions and levels of the maxillary anterior dentition. J Esthet Restor Dent. 2009; 21(2):113-20.
Hoito alkaa ilmaisella 30 min konsultaatioajalla. Ajan voit varata tästä. Tervetuloa!
Olen pelkästään esteettiseen hammashoitoon keskittynyt hammaslääkäri, kansainvälinen kouluttaja sekä luennoitsija. Otan vastaan asiakkaita eSmile:n Espoon vastaanotolla Kauppakeskus AINOAssa.
©Petteri Viljakainen