



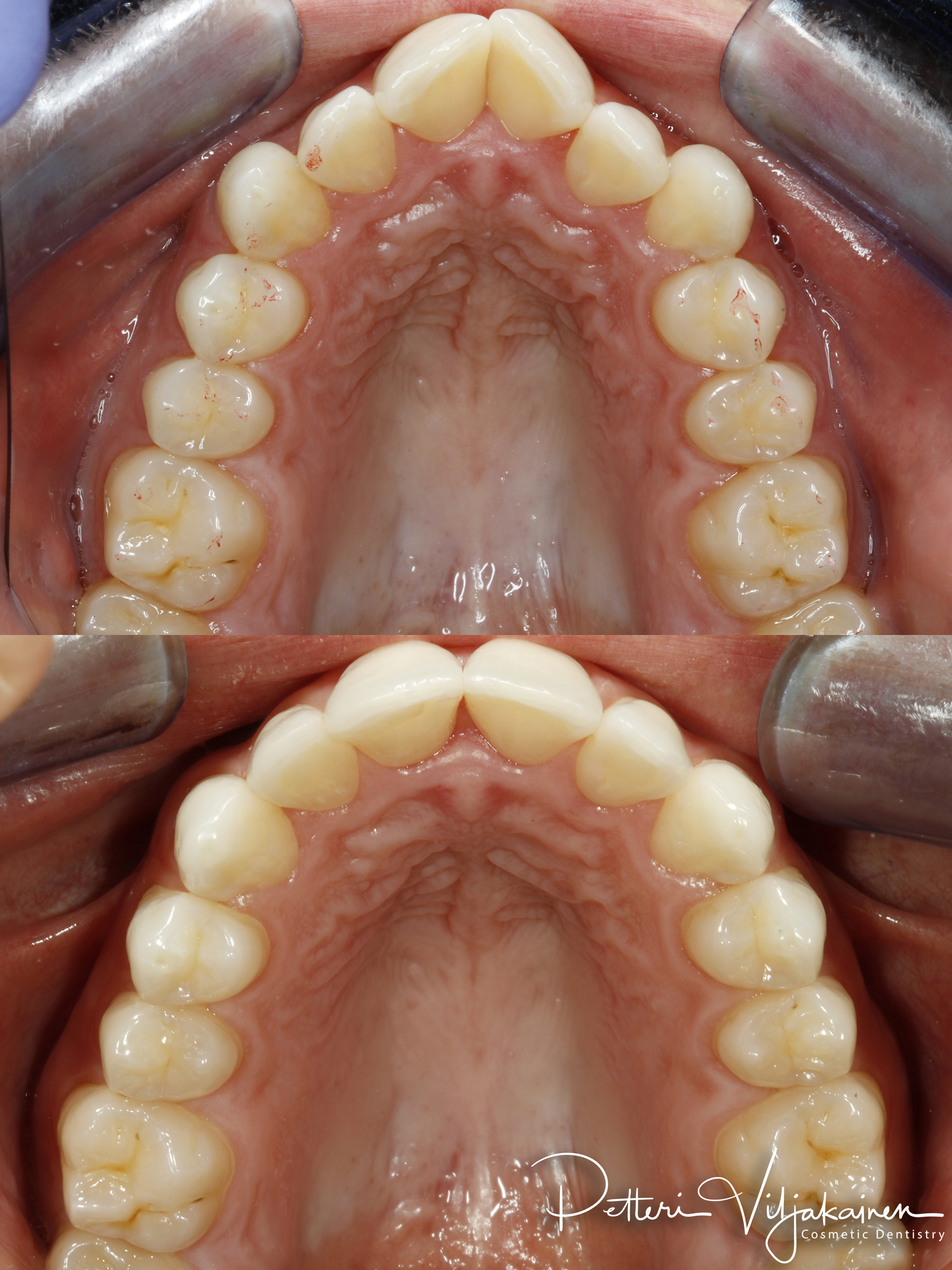
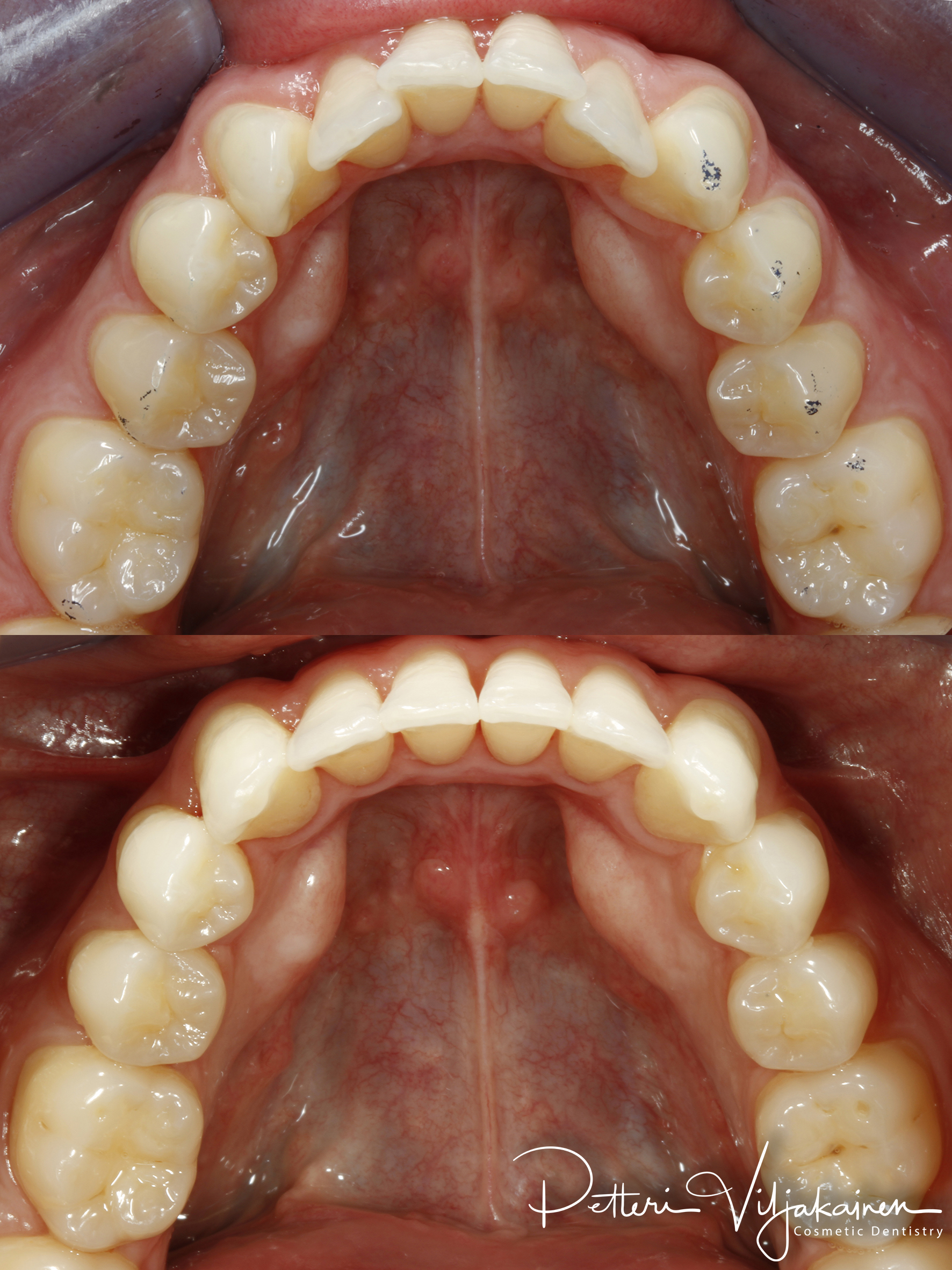
Jamille tehtiin vajaa vuoden kestävä oikomishoito Invisalign -oikomiskalvoilla. Hoidon jälkeen hampaat valkaistiin ja kärkien pienet kulumat korjattiin esteettisillä kerrostusmuoveilla.
Olen pelkästään esteettiseen hammashoitoon keskittynyt hammaslääkäri, kansainvälinen kouluttaja sekä luennoitsija. Otan vastaan asiakkaita eSmile:n Espoon vastaanotolla Kauppakeskus AINOAssa.
©Petteri Viljakainen