


“Oikomishoito Ebelingillä oli hintansa ja vaivansa arvoista, ja olenkin lopputulokseen erittäin tyytyväinen. Ebelingin ystävällinen ja osaava henkilökunta teki jokaisesta käynnistä mielekkään”
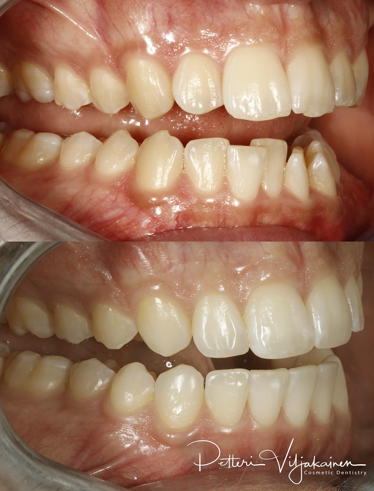
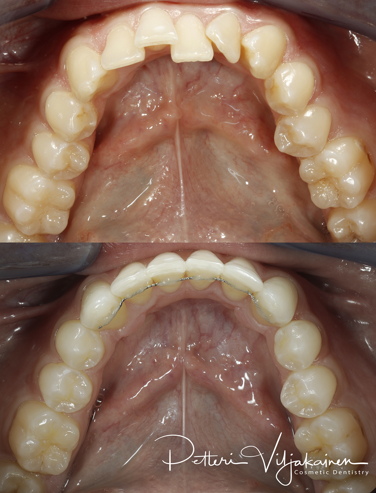
Rolfille tehtiin 5 kk kestänyt oikomishoito hampaanvärisillä kiinteillä oikomiskojeilla. Oikomisen jälkeen hampaat valkaistiin ja lopuksi niiden kärjet viimeisteltiin esteettisillä muovitäytteillä
Olen pelkästään esteettiseen hammashoitoon keskittynyt hammaslääkäri, kansainvälinen kouluttaja sekä luennoitsija. Otan vastaan asiakkaita eSmile:n Espoon vastaanotolla Kauppakeskus AINOAssa.
©Petteri Viljakainen