

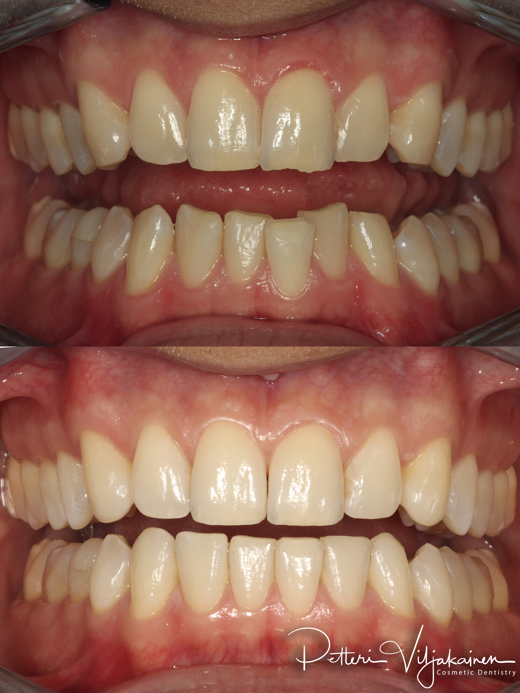
Villelle tehtiin 7kk kestänyt Invisalign -oikomishoito. Hoidon lopuksi hampaat valkaistiin ja kuluneet hampaankärjet viimeisteltiin esteettisillä muovitäytteillä.
Olen pelkästään esteettiseen hammashoitoon keskittynyt hammaslääkäri, kansainvälinen kouluttaja sekä luennoitsija. Otan vastaan asiakkaita eSmile:n Espoon vastaanotolla Kauppakeskus AINOAssa.
©Petteri Viljakainen