


“Aikaisemmin en ollut tyytyväinen hampaisiini ja se oli aina tuonut epävarmuutta ulkonäkööni. Tämä oikomishoito kuitenkin muutti asian ja lopputulos oli parempi kun olin osannut koskaan edes kuvitella. Hoito oli helppoa ja kivutonta ja tunsin oloni huolettomaksi ammattilaisten käsissä”
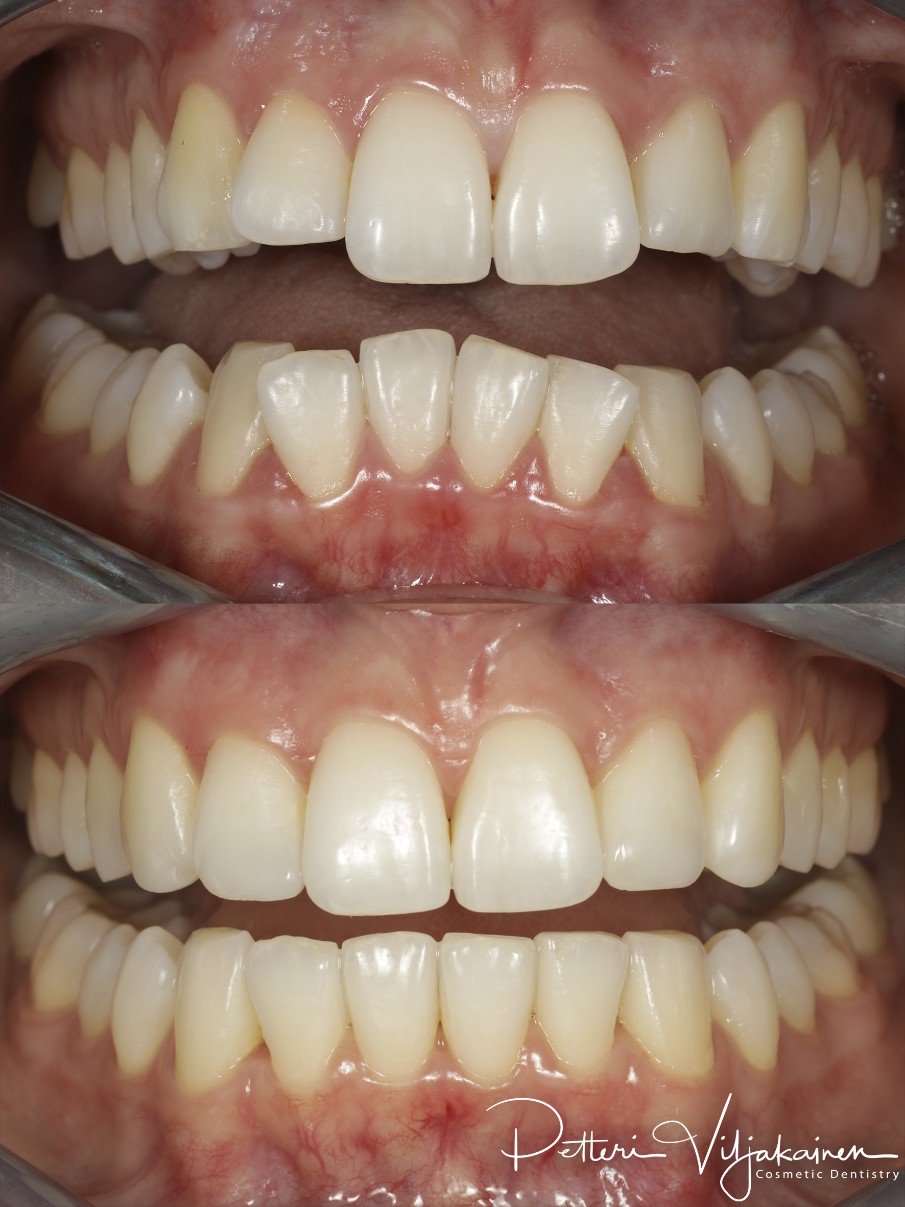
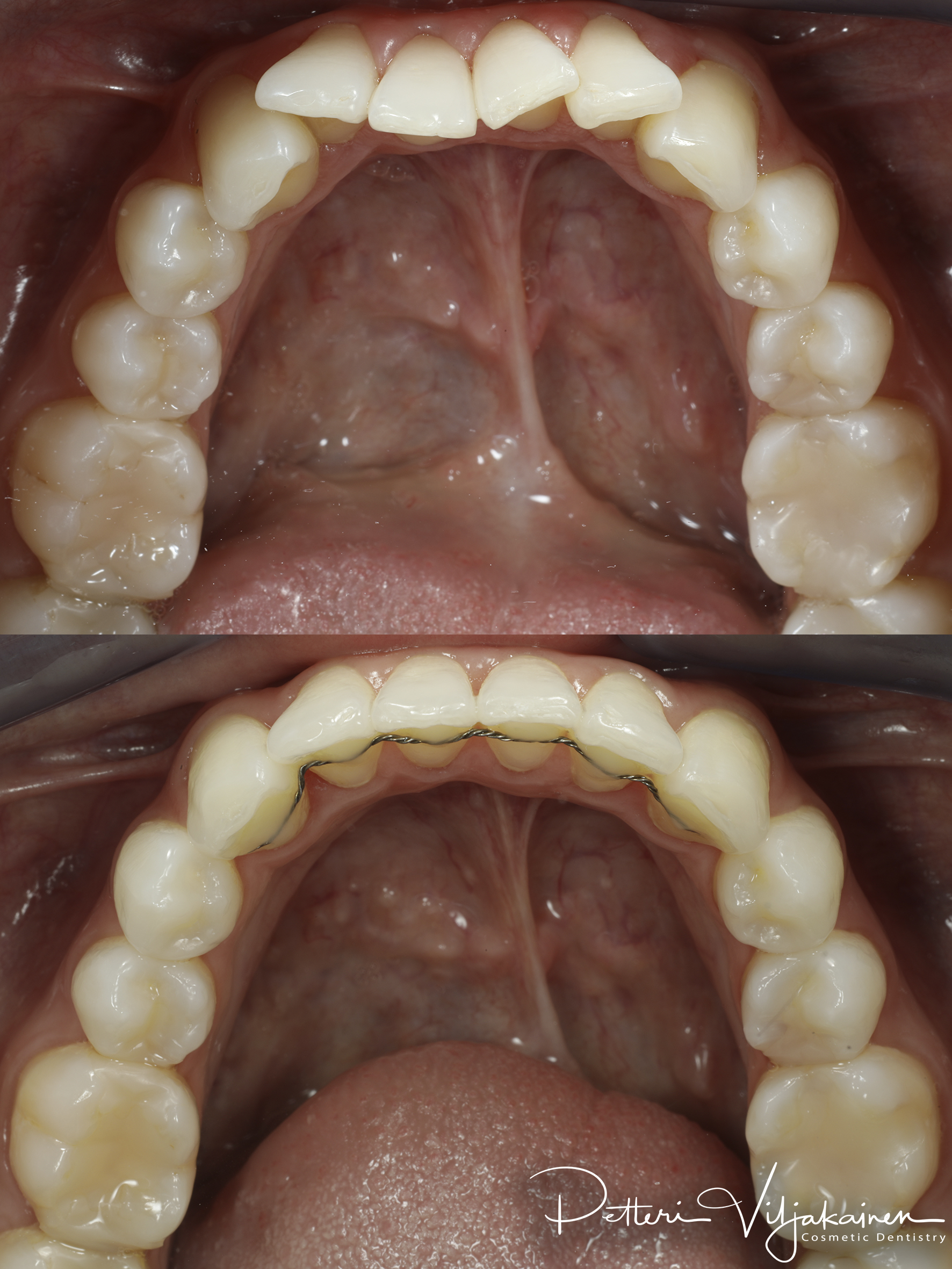
Bean hampaat oiottiin suoraksi läpinäkyvillä Invisalign -kalvoilla. Hoito kesti n. 10kk. Oikomisen jälkeen reunimmaisia yläetuhampaita sekä kulmahampaita pidennettiin esteettisillä kerrostusmuoveilla.
Olen pelkästään esteettiseen hammashoitoon keskittynyt hammaslääkäri, kansainvälinen kouluttaja sekä luennoitsija. Otan vastaan asiakkaita eSmile:n Espoon vastaanotolla Kauppakeskus AINOAssa.
©Petteri Viljakainen