




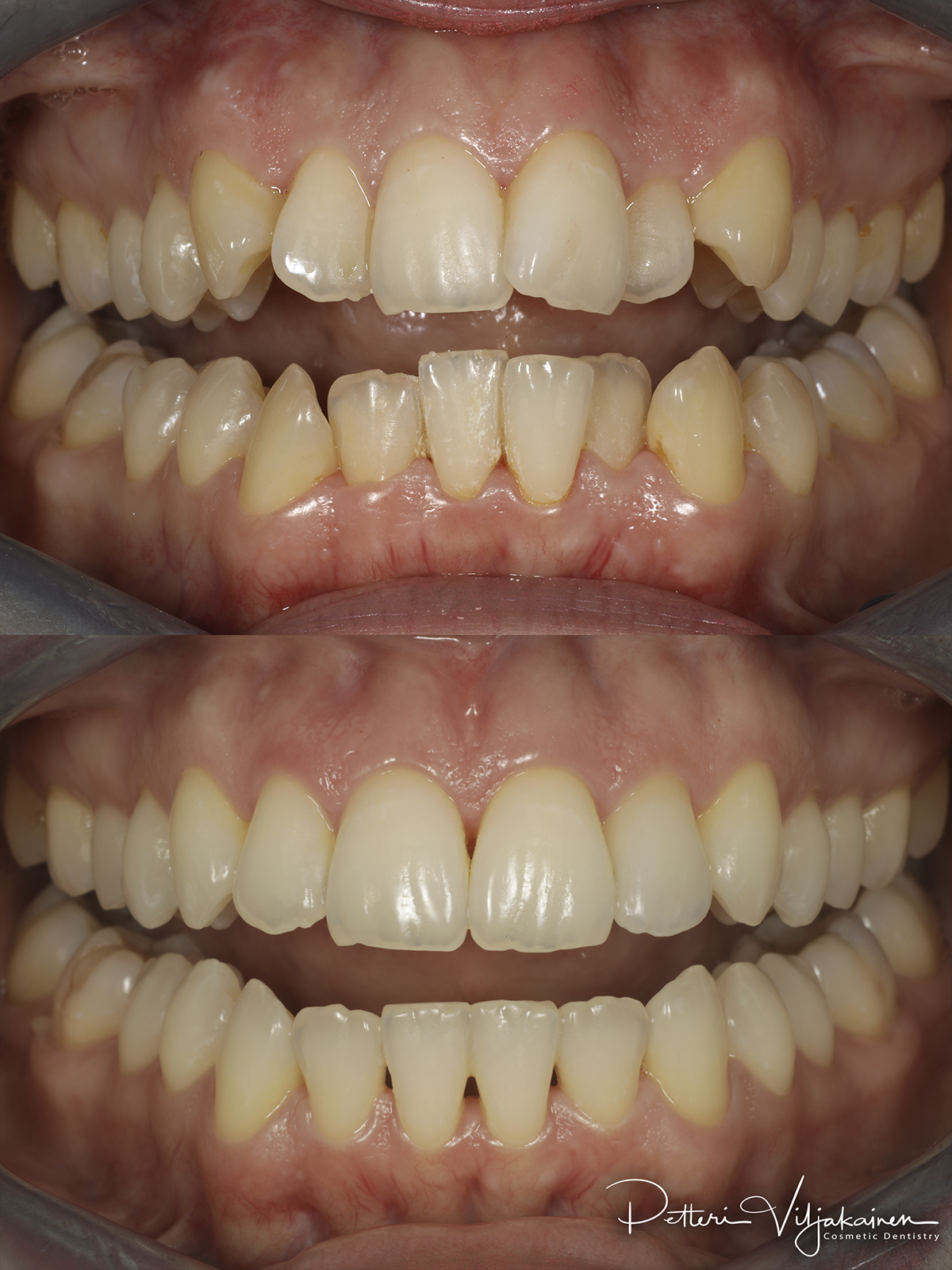
"Olen aina kärsinyt vinoista hampaista ja vasta aikuisiällä se rupesi häiritsemään, vaikka lähipiirini mukaan ne eivät olleet laisinkaan häiritsevät. Mietin että en kyllä rupea enää siihen ”telaketjuoikomiseen” ja yhtenä päivänä huomasinkin erään henkilön jota seuraan somessa, käyvän oikomisessa ja se tapahtuu lähes näkymättömästi ja nopeasti. Otin yhteyttä heti kyseiseen paikkaan ja menin arvioon. Mietin kuitenkin erittäin hammaslääkäripelkoisena että voiko oikominen olla kivutonta yms. Kävi ilmi että hampaat saadaan kuin saadaankin suoriksi ja reilu vuodessa vielä sekä minut saatiin vakuuttuneeksi että kipua ei tule olemaan. Hintalappu oli tyyris, mutta itse mietin että tämä on elinikäinen muutos ja kuitenkin sellainen asia kuin hymy jota ei tarvitse peitellä, oli minulle sen rahan arvoinen. Ainut yllätys mikä minulle oikomisessa tuli, oli se että suurimman osan oikomisesta piti hampaissa pitää ns. Kiinnikkeitä, jotka kyllä näkyivät reilusti enemmän mihin olin varautunut. Alkuun se oli vähän tylsä juttu, mutta ajattelin että se on kuitenkin niin lyhyt aika kun ne on siellä hampaissa että sen kun mennään. Monen monta käyntiä tuli hammaslääkärissä käytyä ja kaiken tuon jälkeen olen erittäin tyytyväinen ja tietenkin todella kiitollinen uudesta hymystäni."
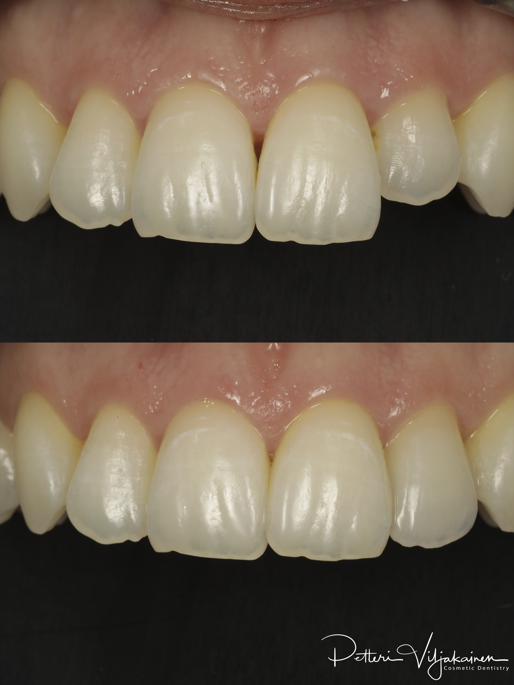
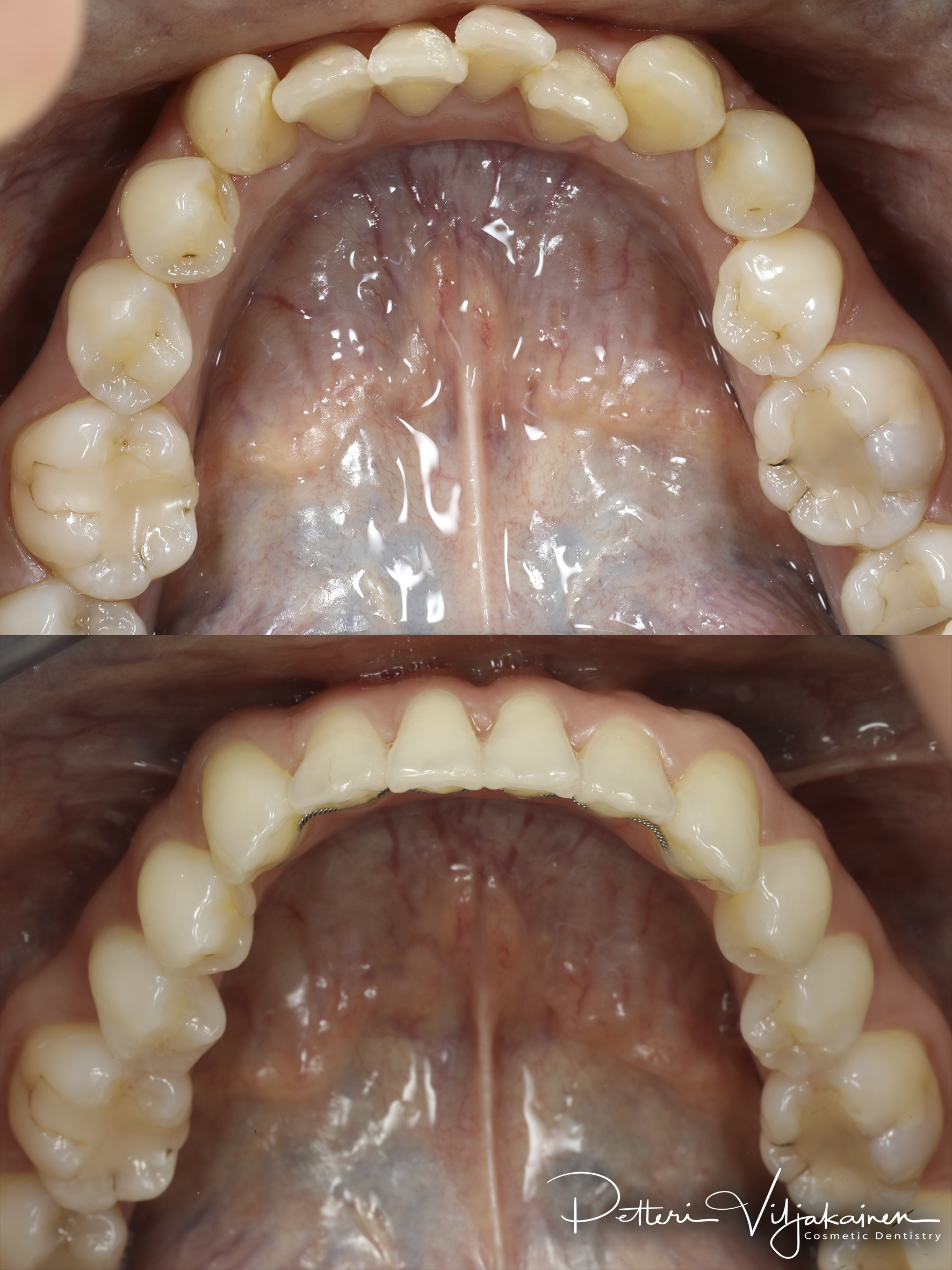
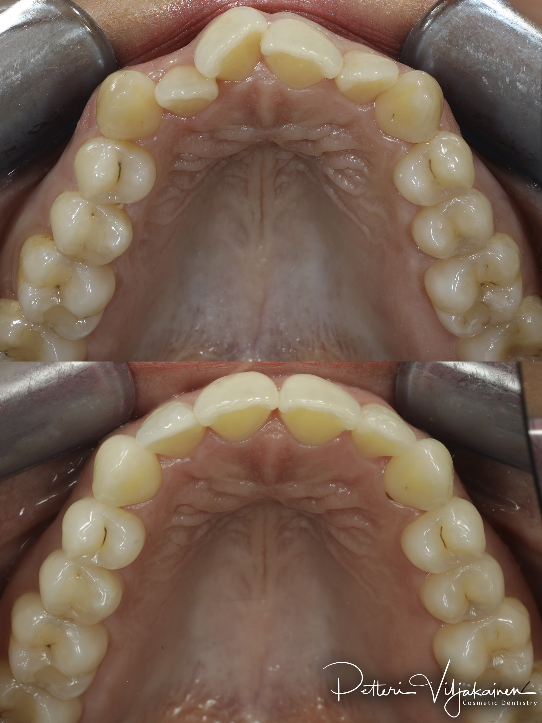
Heinille tehtiin hieman yli vuoden kestänyt oikomishoito Invisalign -kalvoilla (Comprehensive). Hoidon lopuksi hampaat valkaistiin ja reunimmaiseen yläetuhampaaseen tehtiin yksittäinen keraaminen kuori. Hoito on läpäissyt sekä AACD että BACD akkredioinnit.
Heinin hoidosta tehtiin artikkeli yhteen esteettisen hammashoidon kansainvälisesti arvostetuimpaan lehteen Journal of Cosmetic Dentistryyn.







Olen pelkästään esteettiseen hammashoitoon keskittynyt hammaslääkäri, kansainvälinen kouluttaja sekä luennoitsija. Otan vastaan asiakkaita eSmile:n Espoon vastaanotolla Kauppakeskus AINOAssa.
©Petteri Viljakainen