


"Minulle tärkeimmät asiat eli tarkka työnjälki sekä ystävällinen palvelu toteutuivat täysin. Alusta lähtien oli selvää, että Petterille tulee kelpaamaan lopputulokseksi vain paras mahdollinen ja sitä lopputulos myös oli. Sain hampaistani vielä kauniimmat, mitä osasin edes toivoa. Myös kustannukset olivat juuri sen, mitä alunperin oli puhuttu. Mikäli tarvitsen jatkossa esteettistä hammashoitoa tekevää hammaslääkäriä, en voisi kuvitella meneväni kenenkään muun kuin Petterin luo uudelleen."
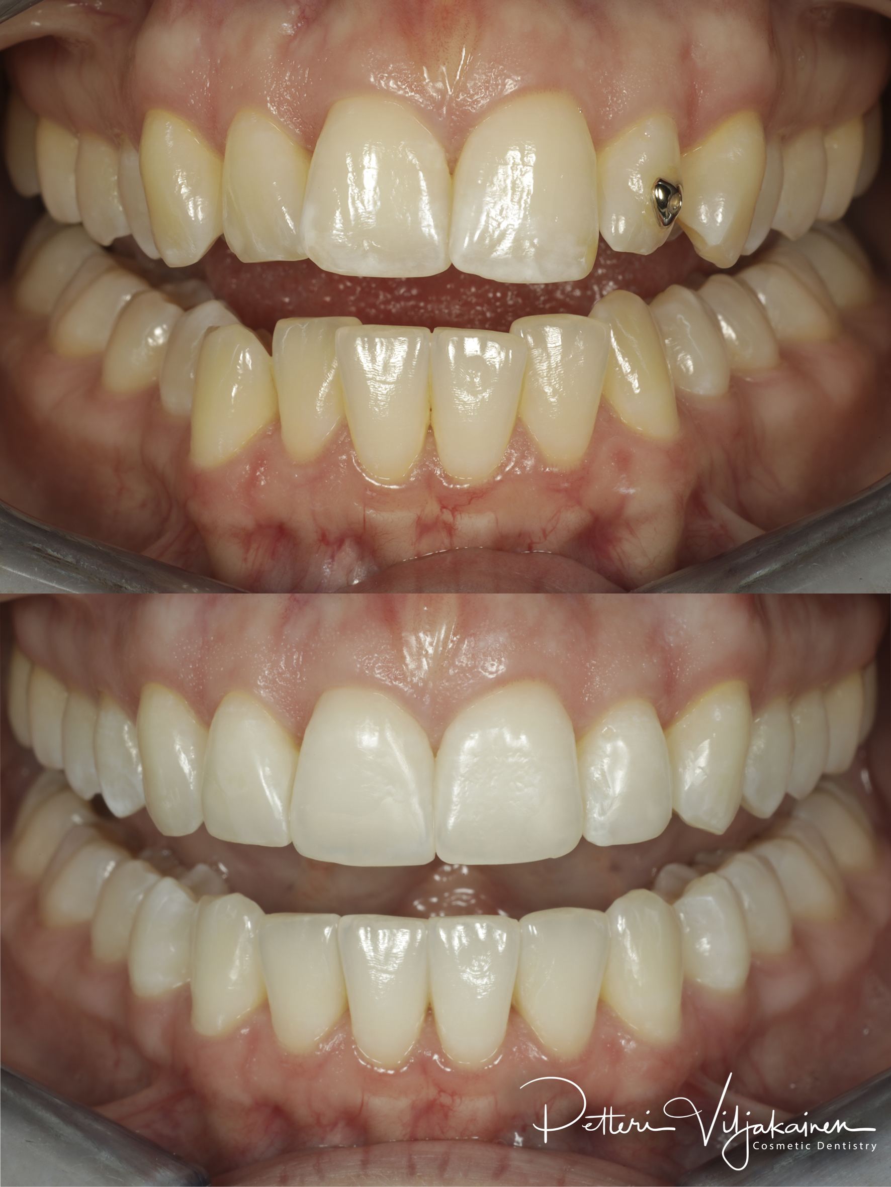
Mirkalle tehtiin 9kk kestänyt oikomishoito Invisalign Lite -menetelmällä. Oikomisen jälkeen hampaat valkaistiin, vaaleat läikät eli hypoplasiat käsiteltiin pois ICON resiini-infiltraatiohoidolla. Lopuksi hoito viimeisteltiin korjaamalla pienet epäsymmetriat esteettisillä kerrostusmuovitäytteillä.
Olen pelkästään esteettiseen hammashoitoon keskittynyt hammaslääkäri, kansainvälinen kouluttaja sekä luennoitsija. Otan vastaan asiakkaita eSmile:n Espoon vastaanotolla Kauppakeskus AINOAssa.
©Petteri Viljakainen